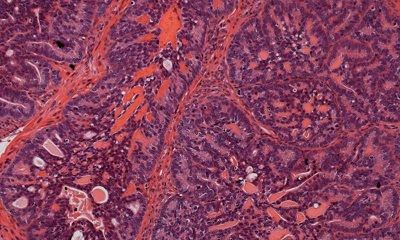
前列腺特异性膜抗原(PSMA)
主要应用:前列腺癌
在前列腺良性增生组织、癌组织中均有表达,但表达量在癌组织中显著升高,在前列腺癌的淋巴转移、骨转移灶中表达也呈阳性。
参考资料
1. 王居祥等. 常用肿瘤标志物临床手册. 东南大学出版社.2016
扫描上面二维码在移动端打开阅读
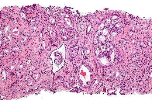
前列腺特异性膜抗原(PSMA)
主要应用:前列腺癌
在前列腺良性增生组织、癌组织中均有表达,但表达量在癌组织中显著升高,在前列腺癌的淋巴转移、骨转移灶中表达也呈阳性。
参考资料
1. 王居祥等. 常用肿瘤标志物临床手册. 东南大学出版社.2016
扫描上面二维码在移动端打开阅读