首页
基础
基础概念
统计数据
肿瘤标志物
分类
肺癌
乳腺癌
胃癌
肝癌
食管癌
结直肠癌
宫颈癌
卵巢癌
白血病
淋巴瘤
胰腺癌
肾癌
脑瘤
黑色素瘤
所有癌症
新闻资讯
预防
抗癌饮食
生活习惯
运动健身
早期发现
风险
遗传
诊断
筛查
诊断
治疗
临床试验招募
肺癌、乳腺癌精准靶向要药
综合治疗
外科治疗
放射治疗
化学治疗
靶向治疗
免疫治疗
介入治疗
干细胞治疗
基因治疗
内分泌治疗
中医药治疗
姑息治疗
疼痛治疗
营养治疗
急症治疗
理社会干预
基因
A
B
C
D
E
F
G
H
I
J
K
L
M
N
P
R
S
T
U
V
W
X
Y
Z
基因信号通路
基因信号通路图
靶向药
癌症靶向药对照表
A
B
D
E
F
G
H
J
K
L
M
N
P
Q
R
S
T
W
X
Y
Z
全部靶向药
靶向药百科
化疗药
A
B
C
D
E
F
G
H
J
L
M
N
P
Q
R
S
T
W
X
Y
Z
化疗药
化疗百科
标志物
思维导图
医生
医院
临床招募
精准医学论坛
诊断
(早发现、早治疗癌症治愈率可超90%)
检查:
全部
一般检查
影像检查
病理检查
生化检查
内镜检查
基因检测
疾病:
全部
肺癌
乳腺癌
胃癌
肝癌
肾癌
结直肠癌
食管癌
子宫癌
卵巢癌
宫颈癌
前列腺癌
脑瘤
胰腺癌
膀胱癌
白血病
淋巴瘤
黑色素瘤
鼻咽癌
头颈部癌
多发性骨髓瘤
甲状腺癌
皮肤癌
睾丸癌
骨癌
人气最高
最新添加
推荐项目
神经系统检查
283
0
前列腺特异性抗原
282
0
直肠镜检查
278
0
血红蛋白
278
0
电测听
275
0
肝胆显像
271
0
尿C肽
269
0
血清醛缩酶
268
0
脑脊液细胞学检查
265
0
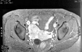
盆腔MRI检查
263
0
5-羟吲哚乙酸
263
0
支气管造影
262
0
肿瘤声学造影
262
0
腹部平片
260
0
门冬氨酸氨基转移酶(AST)
259
0
脑垂体CT检查
254
0
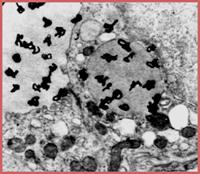
细胞组织化学染色
252
0
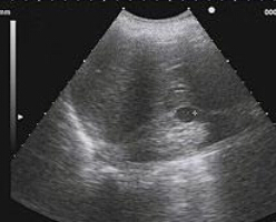
胰腺疾病超声诊断
251
0
皮肤涂片显微镜检查
251
0
膀胱超声检查
248
0
胸部MRI检查
245
0
血清甲胎蛋白(AFP)
243
0
放射免疫显象
241
0
粪便隐血试验
240
0
骨髓淋巴细胞系统
238
0
含甲状腺球蛋白免疫复合物
237
0
尿常规
237
0
胃蛋白酶
236
0
295
首页
上一页
4
5
6
7
8
9
10
11
下一页
尾页