靶向药百科

*以上解读内容仅供参考,癌症123不对解读内容负责。


曲妥珠单抗属于一类称为单克隆抗体的药物。它通过阻止癌细胞的生长起作用。曲妥珠单抗注射液是由医院或医疗机构的医生或护士将液体注入静脉。当曲妥珠单抗注射液用于


印度恩杂鲁胺仿制药具有和原版一样的效果但是价格确亲民很多,对于晚期的前列腺癌患者手首选用药是阿比特龙,但是任何抗癌药物的耐药性是不可避免的,而恩杂鲁胺是继阿比特
对于肺癌患者来说,无论是好阿法替尼(afatinib)还是特罗凯(厄洛替尼)都是可以选择的肺癌靶向药,那么两种药品对此,哪个药品最好呢?



阿法替尼(afatinib)VS特罗凯(厄洛
华印医疗专家表明:阿法替尼耐药后用特罗凯或易瑞沙无效。



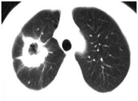
一名65岁女性因右胸痛和劳累性呼吸困难而去医院就诊。 胸部X线摄影显示右肺通透性降低。 计算机断层扫描
第二代不可逆的EGFR-TKI阿法替尼(afatinib)目前用于治疗NSCLC患者,但获得性阿法替尼(afatinib)耐药性的机制仍然知之甚少。



在这里,获得性耐药的异质机制在长期暴露


【规格】

1 mg片是红色膜衣,椭圆片一侧凹有“Pfizer”和另一侧“1 XNB”;80片/瓶

5 mg片是红色膜衣,三角形一侧凹有“Pfizer”和另一
对于肺癌患者来说,据了解,印度阿法替尼(afatinib )是一种效果较好的肺癌靶向药,国内很多肺癌患者都在通过各种渠道了解并购买印度阿法替尼(afatinib )。那么印度阿法替尼(a
据了解,阿法替尼 (afatinib)是表皮生长因子受体(EGFR)和人表皮生长因子受体2(HER2)酪氨酸激酶的强效、不可逆的双重抑制剂。适用于晚期非小细胞肺癌(NSCLC)的一线治疗及H


印度卡非佐米是一种(处方药)药物,在法律上需要分配医疗处方。印度卡非佐米适用于治疗多发性骨髓瘤患者,这些患者至少接受过两种疗法,包括硼替佐米和免疫调节剂,并在最后一


【描述】

卡非佐米是一种作为选择性蛋白酶体抑制剂的抗癌药物。化学上它是一种四肽环氧酮和epoxomicin的类似物。

【用途和适应症】

注射剂卡非佐米被批准用于治


2016年1月21日安进公司(纳斯达克股票代码:AMGN)宣布,美国食品和药物监督管理局(FDA)已批准注射剂美国卡非佐米补充新药申请(sNDA)与地塞米松或来那度胺加地塞米松联合用


卡非佐米如何给药:作为静脉/ IV(静脉内)输注。

您将接受的卡非佐米的量取决于很多因素,包括身高和体重,一般健康状况或其他健康问题以及您患有癌症或疾病的类型。 你的


美国食品和药物管理局(FDA)于2012年7月20日批准卡非佐米用于多发性骨髓瘤患者,这些患者至少接受过两种疗法,包括用硼替佐米和免疫调节疗法(如来那度胺)治疗。 临床获益,如


严重的副作用:

心脏问题:卡非佐米会导致心脏问题或恶化已有的心脏疾病。 卡非佐米给药一天内因心脏骤停而死亡。在开始卡非佐米之前,应该有一个完整的医疗后处理(包括血
我们都知道紫杉醇(安素泰)是从红豆杉中提取的紫杉醇,是世界公认的抗肿瘤药物,可用于多种癌症领域,被人们成为癌症隐形杀手。如何神奇的药品,在美国当地地区的市场价格为每公


多发性骨髓瘤近年来一直备受关注,幸运的是随着医学的不断进步,新药的不断涌现,来那度胺作为一代治疗骨髓瘤患者的特效药,确实显著延长了患者的寿命,但是服用一段时间后都会
提到紫杉醇注射液人们不禁想到多西他赛。因为这两种药物同属于化疗药物,在一些癌症领域治疗效果不相上下。那么这两种药品有什么区别呢?一起来了解。



紫杉醇注射液


泊马度胺通过调节人体免疫系统破坏肿瘤细胞,抑制肿瘤细胞的生长,是包括来那度胺和沙利度胺在内的第三个免疫调节剂类药物,于2013年被FDA批准上市,用于治疗多发性骨髓瘤。
据悉,紫杉醇与多西他赛的作用是相同的,都为M期周期特异性药物,能够促进小管聚合成稳定的微管并抑制其聚解,从而使小管的数量显著减少,并可破坏微管网状结构。



两者同为
据了解,紫杉醇(安素泰)是红豆杉属植物中的一种复杂的次生代谢产物,作为应用比较多的化疗药物,应用10余年。副作用确实很多,但是如果在使用过程中和护理时注意以下这些问题,也


赫赛汀目前已成为治疗乳腺癌的头等靶向药物。赫赛汀适用于治疗HER2过度表达的转移性乳腺癌患者,与紫杉类药物联合治疗未接受过化疗的转移性乳腺癌患者,作为单一药物治疗


易瑞沙原版是由英国阿斯利康研发生产的抗肿瘤靶向药品,主要适用于治疗既往接受过化学治疗的局部晚期或者转移性非小细胞肺癌的患者,目前易瑞沙由三线治疗转为一线治疗药


易瑞沙原版是由英国阿斯利康研发生产的靶向药,用于表皮生长因子受体(EGFR)基因突变的局部晚期或转移性非小细胞肺癌(NSCLC)患者的一线治疗。易瑞沙治疗非小细胞肺癌有以
阿比特龙常见的副作用为:关节肿胀或者不适,低钾血症,水肿,肌肉不适,热潮红,腹泻,泌尿道感染,咳嗽,高血压,心律失常,尿频,夜尿,消化不良,和上呼吸道感染。



下面我们给大家列出详细
据了解,很多化疗患者所使用的化疗药物是紫杉醇(安素泰),但是他们对紫杉醇(安素泰)的了解甚少,甚至连紫杉醇(安素泰)有哪些副作用都不知道。就此问题,我们一起来看华印医疗专