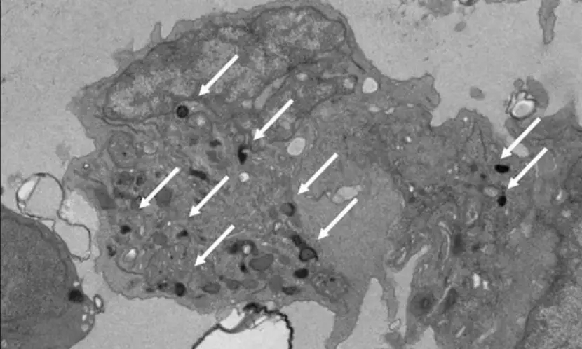
图为研究人员在实验室从人类多能干细胞中培育出的自然杀伤(NK)细胞,这种NK细胞作为癌症免疫疗法可能比来自骨髓的成人NK细胞更有效。白色箭头指的是含有有效抗癌酶的颗粒(成人NK细胞中的这些颗粒相对较少)。
NK细胞是与T、B细胞并列的第三类群淋巴细胞,是机体重要的免疫细胞,与抗肿瘤、 抗病毒感染和免疫调节有关。以往认为NK细胞由骨髓衍生,可在(成年时期的)自身或匹配捐赠者的外周血中提取,用于治疗癌症,但有时疗效差强人意。而最近一项新的研究发现,“年轻版”NK细胞或更有效。
年龄因素与疗效相关
来自圣路易斯华盛顿大学医学院的一项新研究表明,不同年龄时的免疫状态有很大差异,因此也影响着免疫治疗的效果,就自然杀伤(NK)细胞来说--越年轻越有效。现在,它们可以从人类多能干细胞的供应中开发出来,这为受限于患者自身或无法与供体细胞配型的免疫疗法打开了大门。[1]
这项研究发表在3月19日的“Developmental Cell”杂志上。
“我们正在努力提高更多令人满意的免疫治疗效果,这种特殊的自然杀伤细胞来源有可能填补成人NK细胞疗法留下的一些空白。早期证据表明,这些细胞的治疗效果与传统来源的一致。优势在于,我们不需要处理捐赠者或患者自身的细胞,而从现有的细胞供应中就能制造出来NK细胞(例如脐血组织)。一旦病人需要,就可以随时将其制备并用于临床中。”论文主要作者克里斯托弗·M·斯特金(ChristopherM.Sturgin)说。
更早的第一道免疫屏障
研究人员发现,与大多数研究治疗中使用的“成人版”NK细胞不同,更早期的NK细胞并不来源于骨髓。相反,这些NK细胞是一种特殊的短期免疫细胞,形成于哺乳动物早期胚胎的卵黄囊。
论文截图
这说明,生命最初就有NK细胞的守护。“在生命形成的最初,即使没有骨髓的存在,但是胚胎中仍有血液生成,”论文第一作者斯特金说,“卵黄囊会产生一股短暂的血液来维持胚胎的生长,直到骨髓开始形成。”这其中的血细胞似乎能做成人血细胞根本做不到的事情,包括这些独特的自然杀伤(NK)细胞。
但是为了治疗的目的,这些细胞不需要来自胚胎,而是从人多能干细胞中诱导分化出这类“特殊NK细胞”。许多学术医疗中心已经具备了制造这类细胞的能力--这将缩短细胞的制备周期,从而省去处理病人或供体细胞所需的数周时间。
接着研究团队对小鼠和人类诱导的多能干细胞进行了诱导,这些干细胞被诱导分化成“特殊NK细胞”,发现这类NK细胞比成年NK细胞更善于释放特定的抗肿瘤化学物质(一种叫做脱颗粒的物质),成人来源的NK细胞也会释放不同的物质引发炎症反应,但并不一定对癌症有效。
已有其他研究表明,生命早期形成的NK细胞用于免疫治疗,可能优于成人外周血来源。据斯特金推测,在早期胚胎发育过程中,这类NK细胞有可能成为一种监视机制,以防止儿童患癌或感染。
抗癌“奇兵”自带“好记忆”buff
看来人们把NK细胞称为第一道免疫屏障不为过,原来在生命早期就有存在。
不仅如此,其实在先天免疫机制中,NK细胞不仅起效迅速,而且从出生开始就自带“记忆”功能。斯克里普斯研究所的免疫学家Silke Paust就曾在《Science Immunology》杂志上发表报告证实,NK细胞能在人体中形成接触抗原“记忆”的功能。
论文截图
Paust的团队招募了年龄40-60岁之间在孩童时期患有水痘的成年人,并给他们注射了水痘病毒的糖蛋白。在注射部位,水痘患者的皮肤会产生类似水泡的反应,研究人员将水疱内召集来的NK细胞分离出来,经过分析显示,这些NK细胞相当活跃,并与抗原激烈战斗,显然这些细胞的适应性记忆已经持续了几十年。
人NK细胞介导的记忆是长寿命的[2]
结语
了解NK细胞的形成和防御机制,有助于医学界开发出更有效的免疫疗法。近年来,在肿瘤防治领域,NK细胞的临床应用价值不断被证实,而我们以往对于它的认识也被重复刷新着,相信通过科学家们一个又一个令人惊喜的发现,免疫细胞治疗的价值也逐渐被人认可。
最后,通过超高清显微镜,直观了解一下NK细胞是如何消灭癌细胞的(如下图)
“攻击"
“瓦解”
"消灭"
扫描上面二维码在移动端打开阅读







