我是第一个接受肿瘤浸润淋巴细胞治疗的乳腺癌患者,并相信我已经被治愈了。
--朱迪·珀金斯(Judy Perkins)

朱迪·帕金斯(Judy Perkins)在第六届年度患者伙伴美国会议上
朱迪·珀金斯(Judy Perkins),是一名结构工程师,家住佛罗里达州的圣露西港,至今她已经摆脱疾病四年。
朱迪曾利用5周时间绕着佛罗里达的海岸线划了一大圈,全程1200英里,等于从北京至香港那么远。令人难以置信的是,身体素质如此强悍的她,竟在三年前被医生宣判死刑。
原来,朱迪曾患有乳腺癌。

准备迎接死亡
在2015年底,我即将面临死亡。我才50岁,是两个十几岁男孩的母亲。
2003,我的左乳房被诊断为原位导管癌。尽管我做了乳房切除术,并切除了我左侧腋下的几乎所有淋巴结,但不幸的是,在2013年癌症还是复发了,并且发现的时候已经转移到胸骨,胸壁,心包附近以及肝脏。最终,医生告诉我,这是IV期激素受体阳性,HER2阴性乳腺癌,预期寿命可能是2至3年。
最初我没有放弃,我一向是积极乐观的。我开始用紫杉醇治疗,肿瘤缩小了。在那之后,又接受了几轮阿那曲唑和卡培他滨,以及其他化学疗法,但癌症一直在进展。我开始接受即将面临死亡的现实。
我开始做出所有必要的安排,从生存过渡到死亡。我把我的财产签到了我的丈夫身上,整理个人物品,并向家人和朋友们道别 。
虽然我没有期待死亡,但死亡并没有吓到我。我只是不想死的太痛苦。
这期间,我的肿瘤科医生对我的肿瘤样本进行全基因组测序。竟发现我的肿瘤细胞具有FGFR1扩增,于是,我幸运的入组了一项针对FGFR1突变的口服抗血管生成酪氨酸抑制剂lucitanib的临床研究 。
在药物治疗10天后,我的肿瘤开始缩小,我的体力恢复到足以让我继续滑雪旅行。我想,也许我会活下去。
但是7个月后,我的癌症开始进展,我再次经历了悲伤的五个阶段:否认,愤怒,讨价还价,抑郁和接受。这就是患有转移性乳腺癌或任何晚期癌症的患者心理历程。通常,大部分癌症患者在治疗后有很长一段时间的稳定期,在此期间我们自欺欺人地认为我们可能是被治愈的特殊反应者,只有在疾病进展时才会超乎想象的沮丧绝望。
我再一次准备好迎接死亡。
我知道生命是多么宝贵和岌岌可危,一次又一次扫描将生命变成死亡。无论哪种方式,我都准备好了。
我还是没有完全放弃,我一直在乳腺癌社区中活跃。2015年7月,我的身体状态还不错,于是决定参加加利福尼亚州拉霍亚的国家乳腺癌联盟LEAD项目。我的命运又改变了。
项目LEAD(www.breastcancerdeadline2020.org/get-involved/training/project-lead乳腺癌患者可以关注),这是一个为乳腺癌倡导者提供基于科学的培训计划,由来自全国各地从事创新研究的顶尖科学家。会议的主持人之一是美国国家癌症研究所(NCI)外科分会副研究医师Stephanie L. Goff,他是NCI外科分部主任Steven A. Rosenberg博士的同事。
他们正在测试一种全新的过继细胞免疫疗法,这是一种使用肿瘤浸润淋巴细胞来靶向实体瘤患者中的特定肿瘤细胞突变,包括结肠直肠癌,卵巢癌/子宫内膜癌,胶质母细胞瘤,胰腺癌和乳腺癌等的细胞免疫疗法。
在和Rosenberg博士交流后,了解到这种实验性治疗在治疗癌症方面的成功率很低-仅约14% -而且在乳腺癌之前甚至没有尝试过。我没有抱太大希望,只是给自己一些希望,与死神做最后一博!
Rosenberg博士先对我的肿瘤进行了测序,并在乳腺癌细胞里找到了62种不同的突变。此后,研究人员们还在她的肿瘤里寻找肿瘤浸润性免疫细胞。此类免疫细胞有望能识别肿瘤特异的抗原。
在分离出这些免疫细胞后,研究人员立刻开始分析,免疫细胞能否识别我独有突变。分析的结果并不是很乐观。在62种突变里,这些免疫细胞仅能识别其中4种。
但科学家们没有放弃任何一线生机。由于这些细胞的数量太少,作用有限,科学家们决定对它们进行大量扩增,再输回到我体内。在扩增免疫细胞的期间,我接受了免疫检查点抑制剂治疗,将免疫系统的状态调整至最佳。
当900亿个免疫细胞被输入我体内后,奇迹出现了。
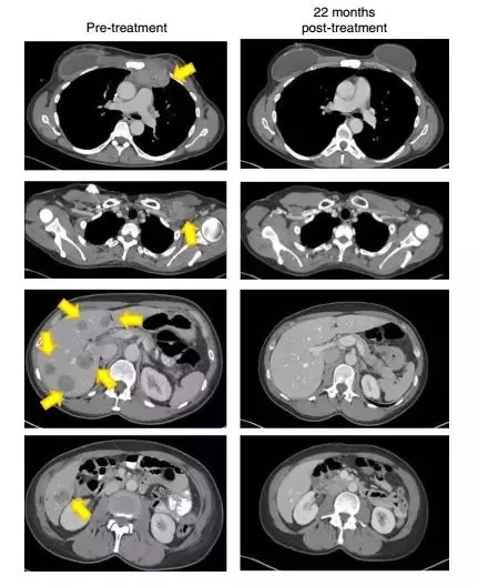
一周过后,我感觉自己的身体起了明显的变化。比如长在胸部的肿瘤,感觉逐渐缩小。又过了一两周,胸腔内的肿瘤完全消失了。

22个月后,我的影像检查显示(黄色箭头)肿瘤消失得无影无踪(图片来源:《Nature Medicine》)
看到旁边的医护人员“一个个都兴奋地蹦达了起来”。我就知道,我赢了。
如今,我体内已经没有任何病灶。并且迄今为止成功接受肿瘤浸润淋巴细胞治疗的每位患者都处于缓解状态,我想我已经治好了。

曾经,死亡教会我放弃我无法掌控的事情,这是一种前所未有的宝贵的经历。它也让我有足够的勇气面对未来的任何困难和挑战!
看了上面的案例,大家一定想知道朱迪接受的细胞免疫疗法究竟是何方神圣。
其实,这属于过继性T细胞疗法的一种,是由免疫界泰斗Rosenberg及其团队开创的新方法。
TIL(Tumorinfiltrating lymphocytes)指肿瘤浸润的淋巴细胞。在手术切除的肿瘤组织中,大部分是肿瘤细胞,也有少部分淋巴细胞。这些淋巴细胞中有部分是针对肿瘤特异性突变抗原的T细胞,Rosenberg博士认为它们是深入到敌军内部打击能力最强的免疫细胞,但是由于一些原因(比如肿瘤微环境和PD-1),他们的功能受到了抑制,不能在肿瘤组织中有效的杀伤肿瘤细胞。
科学家现在已经研发出体外培养方法,把这些肿瘤组织中的特异性淋巴细胞TILs富集起来,再扩增回输给患者,就能够发挥抗肿瘤作用,而且联合PD-1效果会更好,这就是大名鼎鼎的TILs细胞疗法。
Rosenberg教授解释说,虽然其他类型的细胞免疫疗法使用血液中的循环T细胞不同,TIL治疗依赖于从患者身上取得的新鲜肿瘤组织。切除后,对从肿瘤活检组织中分离的肿瘤细胞DNA进行测序,以鉴定出在癌症中发现的突变。然后将突变的新抗原插入自体树突状细胞中,并与从肿瘤活检中分离的TILs共培养。然后通过其分泌的细胞因子(例如干扰素γ)来检测TIL的新抗原特异性识别,最终筛选出能够识别新抗原的TILs细胞,进行扩增,输回患者体内。简而言之,TIL治疗利用能够识别并靶向患者肿瘤的T细胞作为攻克癌症的免疫大军回输到体内,是根据每个癌症患者量身定制的个体化抗癌疗法。
它的开创者正是免疫界泰斗Rosenberg及其团队。
资料显示,老爷爷今年已经78岁了,是世界著名的癌症学和免疫学专家,也是美国癌症研究院(NCI)的外科主任。
Rosenberg认为,癌细胞入侵时,自身的免疫系统会试图打败体内蔓延的肿瘤。
过去三十年间,他和他的团队一直在致力做一件事情:如何发现并放大“打败”工作做得最好的那部分免疫系统细胞。这就是TIL--瘤浸润的淋巴细胞.
肿瘤的CAR-T,NK细胞疗法已经为大家所熟知,而TIL是完全不同于传统细胞疗法的一类新型疗法。
TIL的免疫细胞来自于肿瘤组织,而其他细胞免疫疗法大部分来取自血液,这直接决定了免疫细胞识别肿瘤的能力。据估计,肿瘤里分离出的免疫细胞,有60%以上能识别肿瘤,而血液里面分离的免疫细胞,不到0.5%。
这种新型的疗法不是像传统的简单的扩增回输,而是要确定患者病例中特定的突变。之后利用突变信息找到能够最有效瞄准这些突变的T细胞,最后提取出专门患者肿瘤中细胞突变的T细胞,这些细胞具有精准识别癌细胞的能力。
Rosenberg对常见胃肠道癌的患者的研究证明了不同患者之间免疫应答的独特性。通过对75位患者的生物学样本进行全外显子测序,确定了124个新抗原的TIL。他们发现,83%(62)的患者培养的TIL能够试别自体肿瘤细胞表达的1.6%的体细胞突变。99%的新抗原决定簇在每个癌症患者中都是完全不同的。因此,必须从每个癌症患者中取出细胞,确定哪些细胞可以真正识别和攻击癌症,将这些细胞进行培养,扩增才能起到治疗效果,这是非常复杂的。
这些免疫细胞经过体外培养后,重新注入到患者体内。同时,研究团队联合使用了免疫增强药物白细胞介素2和另一种“明星抗癌药”PD-1抑制剂Keytruda,Keytruda即属于另一种免疫疗法免疫检查点阻断,在某些癌症中有显着的效果。
基于上述操作过程,该新疗法被认为是为患者“量身定制”。
第一步,我们得到病人的肿瘤组织块,其中混杂着体积较大的肿瘤细胞(浅蓝色)以及体积小而圆的T淋巴细胞(红色,绿色,深蓝色);
第二步,肿瘤样本被运送到专有的GMP设施,在那里TIL被分离并繁殖,将不同种类的T淋巴细胞在细胞板上克隆化,并加入高浓度的IL-2来选择培养,在三周内产生数十亿TIL。
第三步,在IL-2的刺激下不同种类的T淋巴细胞都得到了克隆扩增,形成了细胞群;
第四步,用病人的肿瘤细胞和扩增后的T淋巴细胞反应,凡是能够发生杀瘤效应的T淋巴细胞群作为阳性TIL群留下(红色),其余的丢弃(绿色,深蓝色);
第五步,用负载了肿瘤特异性抗原的树突状细胞(DC)进一步扩增培养肿瘤特异性的TIL;
第六步,患者开始一周的预处理治疗(清髓)以准备接受TIL.TIL产品作为一次性疗法施用,在TIL输注后立即接受多达6剂白细胞介素2(IL-2),来支持患者体内TIL的生长和激活。
“治愈”实体肿瘤的新希望-TILs疗法临床数据惊艳
TILs疗法对于多种临床上难治的实体肿瘤取得了惊艳四座的临床效果。去年的ASCO会议上,基于TILS细胞的创新型疗法LN-145和LN-144(Lifileucel)在治疗宫颈癌和黑色素瘤的临床结果一经公布,就引起了医学界的广泛关注,其中黑色素瘤中的TIL治疗具有持续数十年的完全应答(CR)的潜力,这种长期的作用归功于记忆T细胞的持久性。我们一起来看看TILs疗法目前在各类实体肿瘤中取得的进展。
一,黑色素瘤--1988年初次尝试,有望实现临床治愈!
1986年的体外研究表明,从手术切除的恶性黑色素瘤中获得的人源TILs含有能够特异性识别自体肿瘤的T淋巴细胞,当存在大量的肿瘤浸润淋巴细胞时,表明机体启动了对抗肿瘤的免疫反应。
这些研究使得Rosenberg1988年首次证明使用自体TILs的过继性T细胞疗法可以介导转移性恶性黑色素瘤患者的肿瘤客观消退。这意味着,实体肿瘤的克星-TILs疗法正式诞生。
2009年Rosenberg教授发表的针对黑色素瘤的三项连续的临床试验中,接受TILs治疗的客观缓解率在49%至72%之间。其中25名接受TILs疗法的试验中,有7名(28%)达到了完全缓解!值得一提的是,完全患者的患者大部分可达到临床治愈!其中一位患者在接受治疗的12天肿瘤就出现了迅速的缩小。
目前,美国国家癌症研究所NCI在这方面已经取得了非常大的成功,并且已在其他主要癌症中心实施治疗,例如Moffitt癌症中心。
2011年,美国国家癌症研究所(NCI)外科主任Steven A. Rosenberg团队发表在国际顶级期刊《Clinical cancer research》上的对于转移性黑色素瘤的2期临床研究显示,TIL治疗黑色素瘤患者的客观缓解率(ORR)为56%,完全缓解率(CR)高达24%。并且研究表明,浸润肿瘤的免疫细胞数量与患者的生存机会成正比。黑色素瘤是具有相对高的突变负荷的癌症之一,肿瘤被这些免疫细胞润,参与早期试验的一些患者对这种疗法的反应持续了十多年。
C-144-01是一项2期临床试验,招募66名已被诊断患有IIIc期或IV期转移性黑色素瘤的患者。这些患者的特点是至少接受了3~4种全身性治疗都失败后的患者,所有人都接受过PD-1抑制剂治疗,80%接受过CTLA-4抑制剂,23%的患者接受过BRAF / MEK抑制剂,可以说是临床上用尽了治疗方案,山重水复疑无路的极晚期患者。还有44%的患者存在肝或脑转移。
该临床试验旨在确定TIL治疗疗法LN-144是否安全有效地治疗转移性黑色素瘤(帮助患者延长寿命和/或减缓癌症进展)。
这些患者在接受手术后,将肿瘤组织中的TIL细胞进行培养后回输,平均注入的TIL细胞:28 x 10^9;IL-2剂量:6次。
不负众望!在最新报道的66例接受过PD-1治疗晚期黑色素瘤患者的试验中,结果显示:
中位随访时间为8.8个月,未达到中位反应持续时间。
更引人注目的是,患有PD-L1阴性的患者也有响应,这说明对免疫检查点抑制剂无效的患者仍能获益于TIL疗法。
对于PD-1治疗后进展的患者,几乎没有其他治疗选择,这种治疗方案的效果几乎无与伦比。
一位晚期黑色素瘤患者肿瘤在治疗前出现广泛转移,在接受TILs疗法后一个月病灶明显缩小,治疗6个月达到完全缓解,治疗两年后仍然处于完全缓解状态,并且体内持续存在肿瘤反应性CD8 + T细胞。
Iovance公司基于自体肿瘤浸润淋巴细胞(TIL)研发的另一款针对其他实体肿瘤的疗法称为LN-145。
2019年6月,FDA基于innovaTIL-04(C-145-04)积极的试验的数据,治疗晚期宫颈癌患者的反应率(ORR)高达44%,授予肿瘤浸润淋巴细胞(TIL)治疗方法LN- 145为突破性的治疗指定,这是用于实体瘤的细胞免疫疗法首次获此殊荣。Iovance Biotherapeutics公司与FDA进行讨论之后宣布重大喜讯:FDA支持LN-145治疗晚期宫颈癌的监管申请。这一反馈让Iovance公司可能在2020年下半年为LN-145递交生物制剂许可申请(BLA),加快其上市的进程,一旦FDA批准,这将是首款用于实体瘤的细胞免疫疗法,将给癌症患者带来巨大的生存获益。
第二阶段innovaTIL-04(C-145-04)积极的试验在2019年2月4日的数据截止时,有27名可评估的患者。平均注入的TIL细胞:28 x 109;IL-2剂量:6次。
-
客观缓解率(ORR)44%,完全缓解率(CR)11%,疾病控制率(DCR)高达85%。即12名的患者有效果,包括1名完全应答,9名部分应答和2个未确认的部分应答;
-
中位随访时间为3.5个月,12例患者中有11例持续应答;
-
一名患有转移性鳞状细胞癌并接受了多种联合化疗方案,包括顺铂,长春新碱和博来霉素,然后用吉西他滨加顺铂联合放疗。随后发现转移,包括主动脉旁,双侧肺门,颅下和髂骨部位(图1A和1C)。治疗后,她在所有疾病部位都完全消退(图1A和1C)。
值得振奋的是,在化疗期间或之后进展的宫颈癌患者的治疗选择有限,之前报道的晚期宫颈癌化疗或免疫治疗二线治疗的应答率仅在4%-14%之间。而这款新型的非常安全的细胞免疫疗法为晚期宫颈癌患者带来了44%的应答率,并且在一些患者中表现出持久的应答效果,研究人员表示这种治疗方式可以实现长期疾病控制的希望。希望这款疗法能尽快获批上市。
肺癌是全球发病和死亡最高的癌症,尽管近年来靶向和免疫治疗发展已经让肺癌越来越趋于慢性病的治疗,但是对于一些患者来说,当最后的保底药物PD-1发生耐药后,仍让患者们感到恐慌。
美国时间4月27日,在今年的AACR会议上,一项由美国知名癌症中心莫菲特癌症研究中心(H. Lee Moffitt )开展的基于TIL细胞治疗的Ⅰ期临床结果公布:
在12名可评估的非小细胞肺癌患者中,TIL疗法可达到25%的总缓解率,其中两名患者达到持久的完全缓解。
尽管这项研究规模很小,但还是令肿瘤学家们感到振奋,因为这些患者都是临床上已经接受过PD-1(Opdivo)治疗后病情进展的晚期患者,这些患者可以说是山重水复疑无路,最为难治的患者群体了。
当从这些患者体内的肿瘤病灶中提取出抗癌能力超强的TILs细胞,并在体外扩增培养成数十亿有着精准杀伤能力的免疫大军,回输到体内作战时,大部分患者在首次TIL治疗后进行CT扫描就开始出现明显的肿瘤消退。
这项试验共有32名患者参加,最终有16名患者接受TILS治疗,其中12名患者可以评估。在平均随访1.4年时,3名患者病情缓解,其中两名完全患者,并且已超过一年。另一名患者的缓解即将得到确认。
大部分患者在接受TILs治疗后,肿瘤病灶都有所缩小,在接受治疗后的第一次CT扫描时,肿瘤病灶直径平均缩小38%!
因此,在PD-1治疗后,TILs疗法仍具有令晚期转移性非小细胞肺癌达到持久缓解的能力,这是非常了不起的,期待这款疗法能加大研究,早日获批上市,为晚期患者的生命持续续航!
目前,这款新型的免疫疗法暂未上市,但在全球范围内开展了多项针对各类实体肿瘤(非小细胞肺癌,结直肠癌,卵巢癌,黑色素瘤...)的临床试验。大家可以致电全球肿瘤医生网医学部了解详情
1.按要求将病历资料提交至全球肿瘤医生网医学部(4006667998);
免疫肿瘤学的潜力刚刚开始实现,揭开更多的冰山将会更加详细地了解如何控制免疫反应,以及将将这些治疗手段用于临床获得益处。每天我们能看到更多的进展,我们相信这种治疗方法将在未来几年取得重大突破,让我们共同期待。

扫描上面二维码在移动端打开阅读