在过去的十年中,肺癌治疗领域的进展令人震惊,而EGFR突变型肺癌人群更是晚期肺癌中最幸运的一类患者。随着的吉非替尼,厄洛替尼,阿法替尼,奥希替尼等等新药的研发上市,已经让无数EGFR+患者靠着一代代的靶向药活过了五年,十年。
目前,EGFR+最新的药物就是三代“明星”靶向药奥希替尼,虽然让很多肺癌患者成功“续命”,但是也难逃“耐药”的宿命。而就在昨日(4月21日),第四代EGFR抑制剂BLU-945正式在中国申报临床,给无数奥希替尼耐药患者带来新的曙光!
BLU-945是Blueprint Medicines公司开发的一种高选择性、强效的EGFR酪氨酸激酶抑制剂,具有对抗EGFR激活突变,并抑制T790M和C797S耐药突变的活性。它能够抑制携带双重突变或三重突变的EGFR活性。
在刚刚落幕的2022 AACR年会上,第四代EGFR抑制剂BLU-945初露头角,首次公布了BLU-945治疗携带EGFR突变的NSCLC患者的1期临床SYMPHONY研究结果,展现出令人鼓舞的疗效。
SYMPHONY(NCT04862780)研究是BLU-945的首次人体1/2期开放性标签临床试验,旨在评估BLU-945单药和联合奥希替尼治疗对EGFR-TKI耐药的晚期NSCLC患者的安全性、耐受性和有效性。
截至2022 年 3 月 9日,33 名 EGFR 突变 NSCLC 患者接受了五种不同剂量的(范围:25-400 mg QD) BLU-945 每天一次的治疗。值得一提的是,大多数患者(79%)之前接受过至少三线系统治疗,高达97%的患者都接受了奥希替尼的治疗。
结果显示:BLU-945安全耐受性良好。BLU-945的抗肿瘤效力和剂量成正比,在 200mg每天一次以上的剂量水平时,观察到明显的肿瘤缩小,包括1例未确认的部分缓解。 希望再鼎的第四代EGFR抑制剂BLU-945后续临床试验顺利进行,并取得好的结果,早日为患者带来新的治疗选择。
EGFR四代药带给无数患者新的曙光,但是目前为止,FDA 尚未批准任何一款新的靶向药针对奥西替尼耐药患者,从临床研究到药物的正式获批还需要漫长的等待。那么已经奥希替尼耐药的患者首先可根据疾病进展的状态,进行针对性的处理。
一、缓慢进展,可以继续用奥希替尼,配合局部治疗
研究显示,奥希替尼初次耐药患者大多数为孤立性进展,这些患者继续服用9291,配合上局部治疗,还能获益。因此,对于无症状、影像学进展缓慢的耐药患者,可以先不着急换药。NCCN指南推荐以下三种情况患者可以考虑根治性局部治疗(如立体定向放疗或手术),同时继续使用奥希替尼:①无症状进展;②有症状的脑转移(配合脑转移处理,如全脑放疗、培美曲赛、替莫唑胺、鞘内注射等);③有症状的全身性(颅外)孤立性病灶(转移灶<3-5个)。 二、基因检测,找出耐药突变,针对性给予靶向联合治疗
如果奥希替尼使用后,机体出现快速进展的情况,请迅速进行基因检测,根据突变情况进行针对性的靶向治疗。
1. C797S单发突变,使用一代EGFR靶向药物
一线使用奥希替尼,耐药后一般不会出现T790M的突变,但会发现C797S的单发突变,因为奥希替尼尽早使用是能够抑制T790M突变产生的,也会避开T790M与其他突变的共存。这一位点的突变对一代吉非替尼或厄洛替尼都比较敏感,临床处理相对容易。
2. C797S与T790M的顺式突变,目前仍在研
T790M和C797S同时出现,且位于同一染色体上,可用布加替尼联合西妥昔单抗(爱必妥)治疗,有国内案例报道。一肺腺癌女性62岁患者,先后进行了化疗、吉非替尼、厄洛替尼耐药后,出现T790M突变用奥希替尼治疗。8个月后再次进展,发现T790M-C797S顺式突变,使用布加替尼(90mg/日)和西妥昔单抗(600mg/月),稳定控制。 3. C797S与T790M的反式突变,1代+3代EGFR靶向药物
T790M突变和C797S突变同时出现,位于相对面的染色体上,治疗方法上采用1代TKI联合3代药治疗。真实案例介绍:上海胸科医院的陆舜教授在JTO杂志上发表了反式突变治疗国内个案,一42岁女性肺腺癌19Del患者在多线耐药后(厄洛替尼、化疗),T790M阳性用奥希替尼治疗。3年后耐药出现C797S及T790M共突变,反式结构,用1代+3代治疗,同时联合贝伐单抗,维持了8个月。 4. 继发MET扩增,EGFR抑制剂+MET抑制剂
无论是一线还是后线使用奥希替尼,MET扩增的比例大致相同,15%-20%。处理上我们可以采用目前的MET抑制剂控制。比如沃利替尼联合奥希替尼,在一项1b期研究中,对于奥希替尼进展后MET扩增阳性患者,采用奥希替尼+沃利替尼治疗。ORR(客观缓解率)为25%,DCR(疾病控制率)为69%,中位DOR(缓解持续时间)为9.7个月。 此外,还有奥希替尼联合卡博替尼/克唑替尼的成功个案报道。
5. 其他靶点的继发性突变
除了C797S及MET扩增,奥希替尼耐药后出现其他旁路激活,可以用相应的联合治疗方案,有部分的文献报道,都有一定的疗效。 6. 继发EGFR点突变:可用回1/2代EGFR靶向药
奥希替尼耐药后可以继发EGFR靶点上的点突变。除了C797S是常见的点突变外(解决方案以上提过),还会出现EGFR L718V、G724S等位点突变,这些患者其实还可以用1/2代EGFR-TKI克服耐药。既往也有不少案例报道。
三、基因检测后,无可针对的耐药靶点出现,可选用新联合方案或安罗替尼
1. 先转归化疗,灵活用药,可穿插或尝试再挑战奥希替尼
在无可用靶药的情况下,奥希替尼耐药患者理论上都应积极转归化疗。既往研究显示化疗对于经治的T790M阳性患者有效率可达31%,中位PFS有4.4个月。除了常规化疗,研究显示间插治疗及再挑战(TKI耐药后穿插了其他方案后进展,再次用回之前用过的TKI)靶药的方法也有一定的临床疗效。
2. 安罗替尼
安罗替尼是国产小分子多靶点TKI(靶向药)。在ALTER0303研究中,用安罗替尼三线及以后治疗晚期NSCLC患者。总人群中,相比安慰剂,安罗替尼延长了3.33个月的总生存时间(OS),9.63个月 vs 6.30个月。安罗替尼延长了3.67个月的PFS,5.37个月 vs 1.40个月。亚组分析显示,EGFR患者用安罗替尼治疗也可以取得显著的PFS和OS获益。目前也已经进入医保,可报销。
3. 免疫治疗不做常规推荐,可联合化疗或筛选适用人群
对于有EGFR突变的患者,PD1/PDL1不做常规推荐,原因是这类人群用免疫药物的疗效低,并且容易出现超进展。但也有研究发现,对于PDL1高表达及吸烟的EGFR突变患者是免疫获益人群。整体来说虽然PD-1/PD-L1单药不做EGFR耐药后的推荐,但是免疫联合化疗或者抗血管生成药物在治疗EGFR耐药的患者中也取得不错的疗效。
4. 阿法替尼+西妥昔单抗
NCCN指南推荐,阿法替尼联合西妥昔单抗可以作为EGFR耐药的处理方案。
5. 奥希替尼加量:
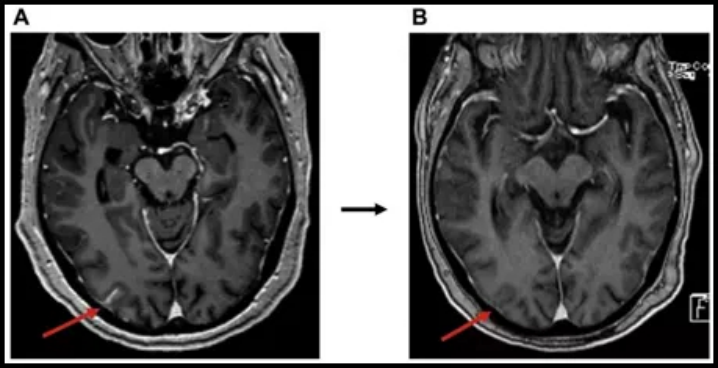
一般从80mg/天→160mg/天适用于无可针对新靶点,通过增加体内药物浓度杀伤肿瘤,特别是脑软膜转移的患者。BLOOM试验纳入了21例EGFR19/21突变的软脑膜转移患者(既往中位治疗线数=3,都用过EGFR靶药),使用奥希替尼160mg/天治疗。其中T790M突变共8例。结果显示,经确认的软脑膜ORR为33.33%,DCR达到76.19%。这里举一个案例。下图A及B为奥希替尼增量(80mg→160mg)前后脑软膜的病灶变化,加大剂量后病灶疗效达到部分缓解PR。 6.“脉冲式”特罗凯:
短时间内大剂量给药,临床无统一的给药剂量方案。NCCN指南推荐“脉冲式”特罗凯治疗EGFR脑软膜转移患者。 四、新靶点药或“四代”TKI(参加临床试验)
1.U3-1402(HER3靶向药)
2020 WCLC报告了一项I期临床研究(NCT03260491),评估晚期EGFR突变NSCLC患者在EGFR-TKIs奥希替尼治疗和铂类化疗失败后使用HER3抑制剂U3-1402(patritumab-deruxtecan,5.6 mg/kg)治疗的安全性和有效性。中位治疗时间为3.5个月,中位随访时间为5个月,55%的患者仍然在继续治疗,疗效图瀑布图如下所示:一例患者达到CR,13例患者确认为PR,3例PR患者待确认。 2. JNJ6372单药或与三代TKI联合,强势挑战奥希替尼耐药获希望!
2020 ESMO大会上报道Amivantamab单药或联合Lazertinib治疗EGFR 突变的NSCLC患者的I期临床试验。在45例奥希替尼耐药患者中,总有效率可以达到36%,疾病控制率达到60%。是目前奥希替尼耐药后有效率最高的方案。因此,一旦JNJ-6372上市,奥希替尼/阿美替尼联合6372的方案将解决耐药并可能冲击一线二线。
五、靶向药轮换(民间做法,不做强推荐)
在奥希替尼耐药后,民间还有多个靶向药之间的切换使用方法,通过对不同耐药机制细胞群的轮替杀伤,达到压制肿瘤进展的作用。然而,这种方案未得到临床试验的数据支持,故不做推荐。这里例举两个例子。 六、转化小细胞肺癌的治疗:除转归化疗,案例用奥希替尼轮换治疗亦见效
病理类型转化是奥希替尼耐药的原因之一。2018年8月,哈佛大学的Geoffrey R. Oxnard教授分析41例奥希替尼耐药后的患者,发现6名患者发生了小细胞肺癌的转化。这类患者T790M突变都是消失的(提示T790M与小细胞相互独立),但一般伴有TP53、RB1和PIK3CA等小细胞常发的基因突变。而对于此类人群,治疗方案上需联合EP这样的小细胞肺癌化疗方案,患者群中碰到过多次这样的患者,对症用药后效果不错。
这里列举一例奥希替尼轮换治疗。一女性患者,61岁,晚期肺腺癌伴脑转,L858R阳性,先后使用吉非替尼、厄洛替尼、化疗,阿法替尼治疗了4.2年。患者的右胸膜转移灶测得T790M突变(组织为腺癌),但发现右横膈膜附近的胸膜肿瘤转化成小细胞肺癌。患者使用奥希替尼及化疗(卡铂+伊立替康)轮换治疗,在一处病灶发生进展后立即切换另一方案,具体见下图。
参考资料
1. Adam J. Schoenfeld et al. Tumor Analyses Reveal Squamous Transformation and Off-Target Alterations As Early Resistance Mechanisms to First-line Osimertinib in EGFR-Mutant Lung Cancer.2020
2. 2020 WCLC
2020 ESMO
2022 AACR
3.CDE官网
目前,EGFR+最新的药物就是三代“明星”靶向药奥希替尼,虽然让很多肺癌患者成功“续命”,但是也难逃“耐药”的宿命。而就在昨日(4月21日),第四代EGFR抑制剂BLU-945正式在中国申报临床,给无数奥希替尼耐药患者带来新的曙光!
打破奥希耐药困境,EGFR四代药初露锋芒
BLU-945是Blueprint Medicines公司开发的一种高选择性、强效的EGFR酪氨酸激酶抑制剂,具有对抗EGFR激活突变,并抑制T790M和C797S耐药突变的活性。它能够抑制携带双重突变或三重突变的EGFR活性。
在刚刚落幕的2022 AACR年会上,第四代EGFR抑制剂BLU-945初露头角,首次公布了BLU-945治疗携带EGFR突变的NSCLC患者的1期临床SYMPHONY研究结果,展现出令人鼓舞的疗效。
SYMPHONY(NCT04862780)研究是BLU-945的首次人体1/2期开放性标签临床试验,旨在评估BLU-945单药和联合奥希替尼治疗对EGFR-TKI耐药的晚期NSCLC患者的安全性、耐受性和有效性。
截至2022 年 3 月 9日,33 名 EGFR 突变 NSCLC 患者接受了五种不同剂量的(范围:25-400 mg QD) BLU-945 每天一次的治疗。值得一提的是,大多数患者(79%)之前接受过至少三线系统治疗,高达97%的患者都接受了奥希替尼的治疗。
结果显示:BLU-945安全耐受性良好。BLU-945的抗肿瘤效力和剂量成正比,在 200mg每天一次以上的剂量水平时,观察到明显的肿瘤缩小,包括1例未确认的部分缓解。 希望再鼎的第四代EGFR抑制剂BLU-945后续临床试验顺利进行,并取得好的结果,早日为患者带来新的治疗选择。
六大奥希替尼耐药处理全策略
EGFR四代药带给无数患者新的曙光,但是目前为止,FDA 尚未批准任何一款新的靶向药针对奥西替尼耐药患者,从临床研究到药物的正式获批还需要漫长的等待。那么已经奥希替尼耐药的患者首先可根据疾病进展的状态,进行针对性的处理。
一、缓慢进展,可以继续用奥希替尼,配合局部治疗
研究显示,奥希替尼初次耐药患者大多数为孤立性进展,这些患者继续服用9291,配合上局部治疗,还能获益。因此,对于无症状、影像学进展缓慢的耐药患者,可以先不着急换药。NCCN指南推荐以下三种情况患者可以考虑根治性局部治疗(如立体定向放疗或手术),同时继续使用奥希替尼:①无症状进展;②有症状的脑转移(配合脑转移处理,如全脑放疗、培美曲赛、替莫唑胺、鞘内注射等);③有症状的全身性(颅外)孤立性病灶(转移灶<3-5个)。 二、基因检测,找出耐药突变,针对性给予靶向联合治疗
如果奥希替尼使用后,机体出现快速进展的情况,请迅速进行基因检测,根据突变情况进行针对性的靶向治疗。
1. C797S单发突变,使用一代EGFR靶向药物
一线使用奥希替尼,耐药后一般不会出现T790M的突变,但会发现C797S的单发突变,因为奥希替尼尽早使用是能够抑制T790M突变产生的,也会避开T790M与其他突变的共存。这一位点的突变对一代吉非替尼或厄洛替尼都比较敏感,临床处理相对容易。
2. C797S与T790M的顺式突变,目前仍在研
T790M和C797S同时出现,且位于同一染色体上,可用布加替尼联合西妥昔单抗(爱必妥)治疗,有国内案例报道。一肺腺癌女性62岁患者,先后进行了化疗、吉非替尼、厄洛替尼耐药后,出现T790M突变用奥希替尼治疗。8个月后再次进展,发现T790M-C797S顺式突变,使用布加替尼(90mg/日)和西妥昔单抗(600mg/月),稳定控制。 3. C797S与T790M的反式突变,1代+3代EGFR靶向药物
T790M突变和C797S突变同时出现,位于相对面的染色体上,治疗方法上采用1代TKI联合3代药治疗。真实案例介绍:上海胸科医院的陆舜教授在JTO杂志上发表了反式突变治疗国内个案,一42岁女性肺腺癌19Del患者在多线耐药后(厄洛替尼、化疗),T790M阳性用奥希替尼治疗。3年后耐药出现C797S及T790M共突变,反式结构,用1代+3代治疗,同时联合贝伐单抗,维持了8个月。 4. 继发MET扩增,EGFR抑制剂+MET抑制剂
无论是一线还是后线使用奥希替尼,MET扩增的比例大致相同,15%-20%。处理上我们可以采用目前的MET抑制剂控制。比如沃利替尼联合奥希替尼,在一项1b期研究中,对于奥希替尼进展后MET扩增阳性患者,采用奥希替尼+沃利替尼治疗。ORR(客观缓解率)为25%,DCR(疾病控制率)为69%,中位DOR(缓解持续时间)为9.7个月。 此外,还有奥希替尼联合卡博替尼/克唑替尼的成功个案报道。
5. 其他靶点的继发性突变
除了C797S及MET扩增,奥希替尼耐药后出现其他旁路激活,可以用相应的联合治疗方案,有部分的文献报道,都有一定的疗效。 6. 继发EGFR点突变:可用回1/2代EGFR靶向药
奥希替尼耐药后可以继发EGFR靶点上的点突变。除了C797S是常见的点突变外(解决方案以上提过),还会出现EGFR L718V、G724S等位点突变,这些患者其实还可以用1/2代EGFR-TKI克服耐药。既往也有不少案例报道。
三、基因检测后,无可针对的耐药靶点出现,可选用新联合方案或安罗替尼
1. 先转归化疗,灵活用药,可穿插或尝试再挑战奥希替尼
在无可用靶药的情况下,奥希替尼耐药患者理论上都应积极转归化疗。既往研究显示化疗对于经治的T790M阳性患者有效率可达31%,中位PFS有4.4个月。除了常规化疗,研究显示间插治疗及再挑战(TKI耐药后穿插了其他方案后进展,再次用回之前用过的TKI)靶药的方法也有一定的临床疗效。
2. 安罗替尼
安罗替尼是国产小分子多靶点TKI(靶向药)。在ALTER0303研究中,用安罗替尼三线及以后治疗晚期NSCLC患者。总人群中,相比安慰剂,安罗替尼延长了3.33个月的总生存时间(OS),9.63个月 vs 6.30个月。安罗替尼延长了3.67个月的PFS,5.37个月 vs 1.40个月。亚组分析显示,EGFR患者用安罗替尼治疗也可以取得显著的PFS和OS获益。目前也已经进入医保,可报销。
3. 免疫治疗不做常规推荐,可联合化疗或筛选适用人群
对于有EGFR突变的患者,PD1/PDL1不做常规推荐,原因是这类人群用免疫药物的疗效低,并且容易出现超进展。但也有研究发现,对于PDL1高表达及吸烟的EGFR突变患者是免疫获益人群。整体来说虽然PD-1/PD-L1单药不做EGFR耐药后的推荐,但是免疫联合化疗或者抗血管生成药物在治疗EGFR耐药的患者中也取得不错的疗效。
4. 阿法替尼+西妥昔单抗
NCCN指南推荐,阿法替尼联合西妥昔单抗可以作为EGFR耐药的处理方案。
5. 奥希替尼加量:
一般从80mg/天→160mg/天适用于无可针对新靶点,通过增加体内药物浓度杀伤肿瘤,特别是脑软膜转移的患者。BLOOM试验纳入了21例EGFR19/21突变的软脑膜转移患者(既往中位治疗线数=3,都用过EGFR靶药),使用奥希替尼160mg/天治疗。其中T790M突变共8例。结果显示,经确认的软脑膜ORR为33.33%,DCR达到76.19%。这里举一个案例。下图A及B为奥希替尼增量(80mg→160mg)前后脑软膜的病灶变化,加大剂量后病灶疗效达到部分缓解PR。 6.“脉冲式”特罗凯:
短时间内大剂量给药,临床无统一的给药剂量方案。NCCN指南推荐“脉冲式”特罗凯治疗EGFR脑软膜转移患者。 四、新靶点药或“四代”TKI(参加临床试验)
1.U3-1402(HER3靶向药)
2020 WCLC报告了一项I期临床研究(NCT03260491),评估晚期EGFR突变NSCLC患者在EGFR-TKIs奥希替尼治疗和铂类化疗失败后使用HER3抑制剂U3-1402(patritumab-deruxtecan,5.6 mg/kg)治疗的安全性和有效性。中位治疗时间为3.5个月,中位随访时间为5个月,55%的患者仍然在继续治疗,疗效图瀑布图如下所示:一例患者达到CR,13例患者确认为PR,3例PR患者待确认。 2. JNJ6372单药或与三代TKI联合,强势挑战奥希替尼耐药获希望!
2020 ESMO大会上报道Amivantamab单药或联合Lazertinib治疗EGFR 突变的NSCLC患者的I期临床试验。在45例奥希替尼耐药患者中,总有效率可以达到36%,疾病控制率达到60%。是目前奥希替尼耐药后有效率最高的方案。因此,一旦JNJ-6372上市,奥希替尼/阿美替尼联合6372的方案将解决耐药并可能冲击一线二线。
五、靶向药轮换(民间做法,不做强推荐)
在奥希替尼耐药后,民间还有多个靶向药之间的切换使用方法,通过对不同耐药机制细胞群的轮替杀伤,达到压制肿瘤进展的作用。然而,这种方案未得到临床试验的数据支持,故不做推荐。这里例举两个例子。 六、转化小细胞肺癌的治疗:除转归化疗,案例用奥希替尼轮换治疗亦见效
病理类型转化是奥希替尼耐药的原因之一。2018年8月,哈佛大学的Geoffrey R. Oxnard教授分析41例奥希替尼耐药后的患者,发现6名患者发生了小细胞肺癌的转化。这类患者T790M突变都是消失的(提示T790M与小细胞相互独立),但一般伴有TP53、RB1和PIK3CA等小细胞常发的基因突变。而对于此类人群,治疗方案上需联合EP这样的小细胞肺癌化疗方案,患者群中碰到过多次这样的患者,对症用药后效果不错。
这里列举一例奥希替尼轮换治疗。一女性患者,61岁,晚期肺腺癌伴脑转,L858R阳性,先后使用吉非替尼、厄洛替尼、化疗,阿法替尼治疗了4.2年。患者的右胸膜转移灶测得T790M突变(组织为腺癌),但发现右横膈膜附近的胸膜肿瘤转化成小细胞肺癌。患者使用奥希替尼及化疗(卡铂+伊立替康)轮换治疗,在一处病灶发生进展后立即切换另一方案,具体见下图。
参考资料
1. Adam J. Schoenfeld et al. Tumor Analyses Reveal Squamous Transformation and Off-Target Alterations As Early Resistance Mechanisms to First-line Osimertinib in EGFR-Mutant Lung Cancer.2020
2. 2020 WCLC
2020 ESMO
2022 AACR
3.CDE官网
扫描上面二维码在移动端打开阅读













