刚结束的欧洲癌症大会公布了一项惊人的研究,糖尿病不仅会导致胰腺癌,它可能就是胰腺癌的早期表现。
在开始读文章前,我们先来做个测试。
找一个安静的房间,平静好情绪,坐下,闭上眼,此时请尽力感受你胸腔及腹腔中的器官……

当然不是叫你这么干......
最明显的,你可能会立刻发现自己的胸廓在持续地上下起伏,没错,那是你的肺正在工作;
当然,我敢保证你一定不会忽略自己强而有力的心跳;
如果这时正值饭点,可能你还会隔着肚皮感觉到自己的肠道正跟着咕噜咕噜蠕动;
如果环境足够安静,兴许你还能清晰地听到腹主动脉的搏动声……
很好,那么现在来仔细感受一下你的胰腺呗。
···
“什么?胰腺?这我可做不到。它在哪?”
你的胰腺在哪?
可能绝大多数人都感觉不到胰腺的存在,甚至对它的位置毫无概念。

实际上,它躺在上腹部的最深处,就像一条鱼。“鱼头” 较低,被十二指肠围绕着,鱼尾较高,紧邻着脾脏。前方则由胃覆盖。
从体表来看,它的下缘相当于肚脐上 5cm,上缘相当于肚脐以上 10cm。如果确认周围安全,或许你可以在自己的肚子上比划看看。
胰腺有什么用?
一直躲在后面,能有什么作为?别惊讶,你每日进肚食物的消化、血糖的维持基本全靠它,此外胃肠蠕动、消化液的分泌和胆囊的收缩也要靠它来调节。
胰腺具有超强大的分泌功能,既可以通过 “外分泌” 向胰腺导管中输送胰液,胰液中作用强烈的消化酶会流入十二指肠消化食物中的糖、蛋白质和脂肪;又能 “内分泌” 胰高血糖素、胰岛素和生长抑素,来调节血糖维持正常水平。

提到血糖你应该就明白了,困扰 1.2 亿中国人口的糖尿病就是因胰腺胰岛素的分泌功能障碍引起的。与其说 21 世纪是恐怖的 “糖尿病时代”,不如说是大家的胰腺都普遍出了问题。
要是你觉得一个糖尿病已经够头疼的话,告诉你个更坏的消息。在刚结束的 2017 欧洲癌症大会上,一项来自法国里昂国际疾病防治研究所的研究表明,不仅长期患有糖尿病是胰腺癌的危险因素,糖尿病病情的急速恶化还可能是早期无症状胰腺癌的征兆。
什么!糖尿病不仅能导致胰腺癌,兴许它就是胰腺癌?这研究到底靠谱么?笔者吓得赶紧吞了颗糖压惊。
研究者调查了欧洲近百万名 2 型糖尿病患者发现,其中被报告为胰腺癌的患者里,有 50% 在一年前就被诊断为 2 型糖尿病,并且被当作糖尿病治疗。
由于癌症作祟,这类糖尿病患者的病情会急剧恶化。于是,他们往往会听从医生的指导,从口服降糖药转向疗效更为激进的胰岛素注射治疗。而这一举措将胰腺癌的确诊风险抬高了整整 7 倍。

一针下去,血糖咻咻地降,癌症悄悄地来......
众所周知,胰腺癌可以引起胰腺分泌功能障碍,从而导致糖尿病。而针对糖尿病的治疗往往能让无症状的胰腺癌更快露出马脚。
这是因为,糖尿病治疗所用的肠促胰岛素是通过刺激胰腺释放胰岛素来降低血糖的。由于这种激素对胰腺的刺激作用,使胰腺内癌细胞的增殖变得更为活跃, 更加快了胰腺癌的进展。
乍看上去,患者先被确诊为糖尿病,一年后再出现胰腺癌,搞得癌症好像就是直接由糖尿病引起似的。事实上,癌细胞早就偷偷潜伏,糖尿病的罪魁祸首也正是它,而胰岛素治疗只是胰腺癌从无症状到有症状的一个助推器。
科学家们由此称之为 “反向因果效应”。
这就让临床医生很头大了。这么棘手的一个癌种,偏偏又和糖尿病扯上了关系。根据患者病情及时调整的降糖疗法竟不经意间加速了胰腺癌的进展。到底还要不要用胰岛素啦?
胰腺癌变,沉默的致命杀手
诊治难度极高外加几乎 100% 的死亡率,其实胰腺癌早就被公认为肿瘤界的 “癌中之王” 了。
胰腺癌的早期又称为 “无症状期”,没错,是几乎没!有!症!状!待到患者出现消化不良、腹痛和黄疸时,往往为时已晚。这也就是为啥他能够成为众多癌种中万恶之首的原因。
要知道,各大癌肿的生存情况普遍都是用 “5 年生存率” 来评估的,而胰腺癌的死亡率实在太高了,科学家们只能勉强计算患者的 “1 年生存率” 来当作指标。因为胰腺癌的 5 年存活率<1%,或者说,几乎为零。
它也绝没有你想的那么罕见。近年来,胰腺癌已成为癌症相关死亡前 10 位的肿瘤。在世界范围内,胰腺导管腺癌目前是癌症相关死亡的第 4 大肿瘤。在美国,预计到 2030 年,胰腺癌将超过乳腺癌成为第 2 大致死性肿瘤。
国内的情况如何?来自 2016 年国家癌症中心的统计数据表明,2015 年中国胰腺癌发病率已经上升至第 9 位,死亡人数在我国癌症死亡总人数中位列第 6 位,总体发病率和死亡率均呈增长的趋势。


如何发现胰腺癌?
前面提到,胰腺癌的发病极其隐匿,待到出现症状时往往病情已达到晚期。那么它就真的发现不了吗?
办法当然有。关键就是要看你够不够警惕。
肿瘤标志物

CA19-9 是胰腺癌必查的一个指标,甚至很多患者正是因为体检时发现 CA19-9 异常才开始怀疑胰腺癌。
它是一种肿瘤特异性单克隆糖类抗原,一般不会出现在正常人体内,但如果体内产生胰腺癌、胃癌、肝癌、结直肠癌等消化道肿瘤时,它的含量就会超标。
CA19-9 在 85%-95% 的胰腺癌患者身上为阳性。在肿瘤切除后,CA19-9 的浓度会有所下降,但如果又复升,往往意味着肿瘤再次复发。
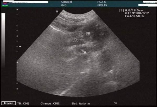
超声检查

想要性价比高又无创的检查?超声绝对是首选。超声检查能明确地发现直径大于 2cm 的胰腺实质性肿块。此外,它还能发现由肿块引起的胆管扩张、胆囊重大和肝内转移。
随着超声技术的进展,过去难以察觉的腹后壁胰腺肿瘤,如今运用纤维胃镜超声探头,便能够直接从胃壁近距离检查。目前超声的胰腺癌术前诊断准确率已高达 92%。
CT 检查
直径小于 1cm 的胰腺肿瘤,能逃过超声的火眼金睛,却仍然敌不过 CT 的扫荡。除了超声能发觉的征象外,胰腺局部低密度占位、轮廓不规则,胰头和胰体的比例失调都是诊断胰腺癌的种种依据。
血液检查
当胰腺病变堵住胆管,致使梗阻性黄疸时,血中的血清胆红素会明显升高,尿胆红素试验也可呈现强阳性。血清淀粉酶也有可能一过性升高。
此外,患者的空腹血糖也会出现异常升高,糖耐量试验也可呈阳性。
逆行胰胆管造影(ERCP)

从口中进入,通过胃到达十二指肠降部,再从胰管的十二指肠大乳头开口向管腔内注入造影剂射片...... 这应该算是探查胰腺最直接的方式了。
逆行胰胆管造影就是这么做的,而且如果能在十二指肠大乳头开口处发现肿瘤,还可以取活检送病理检查。最后的病理诊断报告正是胰腺癌金标准。
它的癌变和谁有关?
隐匿归隐匿,但胰腺癌绝不是毫无征兆,说来就来。它与诸多环境因素、个人生活习惯和其他健康疾病密切相关。
吸烟
大量研究已经证实,吸烟是胰腺导管腺癌的头号危险因素。吸烟可促使烟草中的致癌物质特异性 N - 亚硝酸盐分泌到胆管,然后反流进入胰管。这种致癌物也可随着血流直接进入胰腺。此外,吸烟能使人体血脂增加,进一步触发胰腺癌的发生和发展。
因此,戒烟是防治胰腺癌的关键要素。不过也有研究表明,只要补充足够的叶酸和吡哆醛浓度,就能减少与吸烟相关的胰腺癌危险性。与其钻这个空子不如干脆戒了吧!
酗酒

研究发现,酗酒的男性患胰腺癌的风险要比不饮酒的人高出 1.5 倍至 6 倍。并且喝得越多、越频繁,男性患胰腺癌的风险越高。
糖尿病

就像先前提及的,糖尿病和胰腺癌有着剪不断理还乱的关联。
不过,目前国内经证实的观点主要有二:
1. 长期糖尿病是胰腺癌的危险因素;
2. 新发糖尿病是早期胰腺癌的征兆。
因此,糖尿病患者及内分泌科医生们应该意识到,患上糖尿病或已存在的糖尿病病情迅速恶化并不只有表面上那么简单,需要更进一步的检查,因为这,可能正是癌症临近的信号。
幽门螺旋杆菌

在消化道中作怪的细菌照样能坑害胰腺。研究显示,胰腺癌患者中有幽门螺旋杆菌血清阳性者,与对照组相比有显著差异,提示了幽门螺旋杆菌感染与胰腺癌有相关性。
而且,这种危险关系在细胞毒素相关性基因 A 阳性菌株感染的患者中最为明显,该菌株被认为具有更大的致癌作用。
慢性胰腺炎
每过 10 年,慢性胰腺炎患者的胰腺癌变概率就会增长 2%。且在慢性胰腺炎患者中,伴有钙化性胰腺炎者的胰腺癌发生率更高。
不过也有研究发现,除了少数遗传因素导致的家族性慢性胰腺炎外,一般的慢性胰腺炎并不会导致胰腺癌。
无论孰是孰非,适量饮酒,及时摘除胆结石、避免暴饮暴食,给自己的胰腺营造个良好的环境总没错。
咖啡

1981 年,一名德高望重的哈佛大学流行病学家在著名《新英格兰医学杂志》发表了《一份关于饮用咖啡与胰腺癌关系的病例对照研究》,称 “饮用咖啡与胰腺癌之间存在明显关联,在对吸烟的影响做出调整后,每天饮用不超过 2 杯咖啡人群,男女两性合并胰腺癌相对危险性(RR)为 1.8,每天饮用超过 3 杯以上 RR 为 2.7”,从而得出结论:“很大比例胰腺癌的发生归因于饮用咖啡”。
也就是说,饮用咖啡会将胰腺癌的危险性提高 2~3 倍。那你每天 “赖以生存,不喝会死” 的咖啡还能不能喝了?
别担心,迄今公开发表过关于咖啡和胰腺癌关联的研究已超过 500 多份,但奇怪的是,研究结果与早期并不完全一致。而且研究者们越是研究,就越发现咖啡与胰腺癌的关联性不那么大。兴许是人类对咖啡的一腔热情打动了胰腺,emmm,姑且就放过人类这一回吧。
肥胖

肥胖体质也是胰腺癌的高危因素。甜食、高脂类红肉食摄入过多、日常摄入的脂肪、淀粉、蛋白等过量,就会造成胰腺的过度负荷,慢慢的就会使胰腺细胞发生恶性转化,从而逐渐导致胰腺癌的发生。
春节假期刚过,你是否也大吃大喝了好几场?可别忘了,在你的肚子里有一枚娇滴滴的胰腺。它不可或缺,生病了却常常不声不响。不如从年后起改掉不良生活习惯,将一切危险因素杜绝于千里之外。
最后,送你一张消化系统解剖图,你能一眼找出胰腺吗?

没错,它就藏在这儿!(★处)

扫描上面二维码在移动端打开阅读