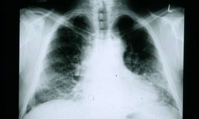
【检测肺癌新工具】肺癌依然是主要癌症杀手,但是一旦发现就已经为时已晚了。然而近期,研究人员发现有一天也许可以通过一个简单的鼻拭子,就可以快速使用 CT 扫描出肺癌。
关键在于鼻腔中基于 DNA 的生物标记物,可以看出肺损伤是否癌变。研究人员表示:“鼻基因表达包含的癌变信息有助于肺癌的检测。这一检测可以让医生快速确认疾病,为病人节省了后续大量的检查费。”
目前,医生通过对长期吸烟者或其他高风险人群进行胸部扫描,一旦发现异常,一系列的检查,如活检都是必不可少的。因此,需要更加方便,简洁且安全有效的检测方法。
在此次研究中,研究人员针对之前或正在吸烟者,取出鼻拭子,确认了 30 组与肺癌有关的基因,两位肺癌方面的专家称,此项技术非常有前景,有助于减少肺癌诊断过程中一些不必要的程序。

扫描上面二维码在移动端打开阅读