
癌症领域是各种医疗骗局泛滥的重灾区。随着医疗科学知识的普及,骗术的生存空间越来越小,但也越来越高明,特点之一就是披着科学外衣、建立在某些可行原理之上的骗局,其中饥饿疗法 / 生酮疗法就是一个例子。
什么是生酮疗法?
生酮疗法,又名「饥饿疗法」,就是利用特殊的饮食方式,企图「饿死」癌细胞的疗法。
什么是「特殊」的饮食方法呢?
就是高脂、中或低蛋白、低或无糖饮食。
一项经常看到的生酮疗法,包括 90% 的脂类摄入、8% 的蛋白质摄入以及 2% 的糖类摄入。
对比美国人的正常食谱,脂类只占 35%,蛋白质占 15%,糖类则达到 50%。

这个疗法对癌症有神奇疗效吗?
微博上流传的视频就提到,生酮疗法的疗效竟然「比化学疗法的效果还好」。

为了让宣传更加有说服力,视频还找来一个癌症患者现身说法,说他的癌细胞已经扩散到骨头上,医生告诉他「只有三个月寿命」,最后,靠生酮疗法彻底治愈癌症了!
有了「患者」,还要有「研究者」。
几个自称「南佛罗里达大学」的研究人员,声称他们的研究已经取得成功,他们要把真相告诉患者。
他们暗示癌症是「一门生意」,他们的研究损害了既得利益集团,既得利益集团不让他们发表研究成果。
生酮疗法到底科学吗?
说真的,「生酮疗法」还真有一定依据,它来自德国的科学家奥托 · 海因里希 · 瓦尔堡(Otto Heinrich Warburg)80 多年前提出的理论。
说起瓦尔堡,那可是大名鼎鼎,他因发现呼吸酶而获得 1931 年的诺贝尔生理学或医学奖,是 20 世纪的顶尖生物学家之一,可以说,他是从分子水平上研究生物能量代谢的「开山鼻祖」。
而真正让瓦尔堡闻名于后世的是,他发现了癌细胞特殊的葡萄糖能量代谢方式。
葡萄糖是人体的主要能源物质。正常的人体细胞通过把葡萄糖分子一次次氧化最后生成二氧化碳、水和能量物质 ATP 供细胞利用。
正常细胞消耗葡萄糖是需要氧气的。1 个葡萄糖分子完全分解、释放能量,需要用掉 6 个氧气分子。
氧气需要通过血液运输,由于癌细胞长得太快,人体血管来不及生长、氧气供应不上,逼着癌细胞想办法不利用氧气也能消耗葡萄糖供能。
于是,肿瘤细胞产生了巨大变异,利用葡萄糖供能并不需要氧气,仅停留在葡萄糖代谢的初步阶段。因此,肿瘤细胞利用相同数量的葡萄糖产生的能量比正常细胞要少很多。
这让癌细胞在缺氧的情况下攫取人体的能量,而且比正常细胞需要更多的葡萄糖来制造能量。
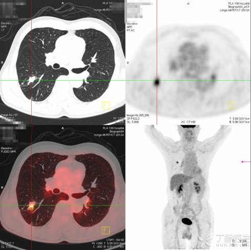
这个理论是被实验证明的。最重要的实验,也是该理论最伟大之处,就是成就了 PET-CT 技术在临床检查的应用。
它的中文名叫「正电子发射型计算机断层显像」,利用癌细胞比正常细胞需要更多葡萄糖的特点,将葡萄糖分子打上机器能够辨别的标记,然后将这些葡萄糖打进患者血液里,带着放射性核素的葡萄糖会被癌细胞大量摄取,在癌细胞内浓聚。医生通过特殊的仪器就能看到人体内某些组织、部位「亮」了,而这些发亮的组织、部位往往就是癌症病灶。

生酮疗法到底有没有「抗癌作用」?
每当看到某种疗法宣称能抗癌,而且比化疗还好,丁香医生(dxy.com)多么希望读者们的第一反应是:请拿出证据!
1. 「抗癌」需要证据
真正能证明某种疗法或者药物能够抗癌,需要严格遵守相应规范的「随机对照临床试验」,而且仅仅一家机构做还不行,须要多家机构做。
次一点,起码也需要「非随机的对照研究」,比如「病例对照试验」或者「队列研究」。
那么,生酮疗法有吗?
没有,完全没有,目前有的只是动物试验与个案报道 [1]。
2. 动物试验证据效力不够
动物实验的确发现,生酮疗法能够缩实验老鼠的肿瘤、延长实验老鼠的生存期,但老鼠和人差别是巨大的,动物实验的结果不能直接推导到人身上。
3. 个案报道证据效力也不够
个案报道就是一两个病人的治疗过程,发现「有效」。实际上,这些个案报道根本不能说明任何问题,更别提证明生酮疗法「能抗癌」「疗效比化疗好」了。
个案报道,大都集中在一种特殊的脑瘤——多形性成胶质细胞瘤(glioblastoma multiforme)。
这是一种非常凶险的恶性肿瘤,生长十分迅速,预后极差,患者 1~2 年内就会死亡。
其中最具代表的是 1995 年的一项个案报道 [2],报道两位不幸罹患这种脑瘤的女孩采用了生酮疗法。该报道说,其中一个女孩的肿瘤摄取葡萄糖的能力降低 21.8%,并且 12 个月疾病没有进展。
但是,报道没说另一个女孩,难不成是没有任何疗效?
而且,就算是「治疗有效」的那个女孩,也只能说明生酮疗法能降低肿瘤的葡萄糖摄取,也没有排除她的肿瘤类型属于相对来讲恶性程度较低的那种。
因此,个案报道的证明力微乎其微。
不过,不管怎样,生酮疗法还是有一定证据的,比国内搞的「自体血活化疗法」要好得多,但生酮疗法的证据还太弱,离证明抗癌、疗效比化疗好,还差得远。
即便生酮疗法真能抗癌,目前个案报道也只是针对一种比较罕见的癌症,而人类癌症有上百种,社交媒体的宣传就说「能抗各种癌症」,这未免太离谱。
4. 分期的临床试验目的不同
现在,有一些小规模的 1 期临床试验正在进行中,现阶段临床试验的主要目的是证明生酮疗法的安全性,而到底能不能抗癌,则是 2 期、3 期临床试验才会有的目的。
而要进入 2 期、3 期试验,只有 1 期试验先成功才可以;只有完成 3 期临床试验,才能被批准成为标准的「抗癌疗法」。
通常,1 期、2 期临床试验的失败率很高,可以说是走独木桥,真正能通过 3 期临床试验少之又少、难之又难。
生酮疗法值得作为「最后的尝试」吗?
有人问,我的亲人得了晚期癌症,死马当活马医,用下生酮疗法可以吗?
患者使用什么疗法,是患者的权利。医生只能将所有信息完全告知患者,让患者做出自己的选择。
生酮疗法也是有风险的,最大的风险就是引起患者低血糖,出现头晕、乏力,甚至晕厥。
此外,还有高脂摄入引起消化道反应,如恶心、呕吐、腹泻。
晚期癌症也不是都没有治疗方法,可以看之前丁香医生(dxy.com)发过的《晚期癌症真的没治了?》。
晚期癌症患者的治疗目的,以提高生存质量为主。
还有治疗希望的非晚期癌症患者要特别注意,切不可因为尝试这些非主流的、无足够证据证明的疗法,而耽误常规疗法(手术、化疗、放疗),这是得不偿失的。
丁香园版权所有,未经许可不得转载。
图片来源:Shutterstock.com
扫描上面二维码在移动端打开阅读