新闻资讯

本专题为癌症123的癌症专题,内容全部来自癌症123精心选择与癌症相关的最近资讯,癌症123读懂智能与未来,拥有癌症资讯的信息,在这里你能看到未来的世界。

*以上解读内容仅供参考,癌症123不对解读内容负责。
每年的 2 月 4 日是世界抗癌日,许多人认为癌症是一种黑色命运,不幸的人才会患上。事实上,不正确的生活方式才是现如今患癌的主因,比如喝酒。 俗话说,酒和肝癌是 “标配”,每天仅喝三杯酒就...
近几年,免疫疗法的成功使癌症治疗进入了新的时代。无论是科研界,还是商业界,都丝毫没有掩饰对这一领域的热情。2016 年,Cell 杂志公布的年度十大最佳论文中,免疫疗法占两席。事实上,这两项成...
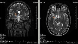
日前,一项刊登于国际杂志Science Translational Medicine上的研究报告中,来自北卡罗来纳大学的研究人员通过研究开发出了一种革命性的疗法来治疗胶质母...
日前,一项刊登在国际杂志Proceedings of the National Academy of Sciences上的研究报告中,来自德州大学西南医学中心(UT Southwestern Medical Center)...
近日,一项刊登在国际杂志PNAS上的研究报告中,来自能源部橡树岭国家实验室的研究人员通过研究成功对诱发胃癌的细菌的关键酶类进行了解析;研究者指出,阐明酶类的...
今天是第18个世界抗癌日,今年抗癌日的主题为“我们能,我能战胜癌症”,近年来全球很多科学家在癌症研究领域投入了大量精力去探索,同时也取得了突破性的成就,本文中小编就对近年来研究...
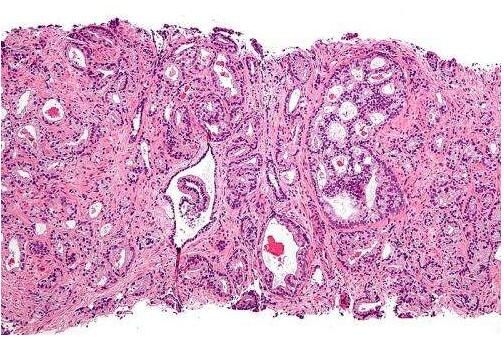
图片来源:medicalxpress.com2017年2月5日 讯 /生物谷BIOON/ --来自加州大学旧金山分校和凯萨医疗机构的研究人员近日通过研究在健康男性机体中鉴别出了正常前列腺特异抗原(PSA)水平的...
新华社长沙2月4日电(记者帅才)2月4日是世界癌症日。专家指出,近年来,肿瘤高发,已成为威胁人类健康的头号公敌。专家指出,癌症不等于绝症...
一个意想不到的研究结果:开发中的抗癌剂促进受损心肌的再生,可能在未来有助于防止充血性心力衰竭。近日,该研究结果已发表在美国《国家科学院院刊》杂志上。 身...
韩启德 全国政协副主席、中国科协主席、九三学社中央主席  1945年7月生,浙江慈溪人,中共党员,九三学社社员。中国科学技术协会主席,十二届全国政协副主席,九三学社中央主席。...
近年来,抗癌药物市场可谓蒸蒸日上。据预测,到2022年,抗癌药物的销售额将等同于2014年所有药物销售额的四分之一。那么到底那些药物将是未来抗癌药物市场上的领头羊?日前,FiercePharma...
近年来,随着生活方式的改变,人们越来越注重健康了,毕竟这是最基本的幸福。虽说现在医学发达,但某些病还是没能攻克,比如说令人谈之色变的癌!症!   虽然谈癌色变,但人们依旧对它很关心,因为...
2016年12月,来自美国国家癌症研究所(NCI)癌症预防部门的两位科学家在Cell旗下Trends in Cancer系列上发表了一篇题为“Cancer Prevention: Lessons Learned and Fut...
世卫组织数据显示,目前我国每死亡5人即有1人死于癌症。饮食和癌症关系密切,其实,最好的抗癌物就藏在常见食物中。维生素B2防食管癌、胡萝卜素防乳腺癌、番茄红素防前列腺癌&hellip...
央视新闻视频:世界癌症日 今天是“世界癌症日”,今年的主题是“我能战胜癌症”。据全国肿瘤登记中心统计,2015年全国约有430万人确诊癌症,280万人因...
今天是“世界癌症日”。美国癌症学会2017年1月5日公布“2017癌症统计”年度报告,指出在过去的20多年里,美国癌症总体死亡率下降25%,相当于210万人逃离死神魔爪。报告...
珏 晓摄   每年的2月4日是世界癌症日。2017年国际抗癌联盟推出的世界癌症日主题为“我能...
近年来肾癌发病率上升幅度在恶性肿瘤中排名第一。临床治疗表明,肾癌对放疗和化疗均不敏感,以 VEGFR 抑制剂索拉非尼和舒尼替尼为代表的靶向抗肿瘤药物是晚期肾癌的一线治疗药物。虽然 FD...
一项新的研究发现,乳房由更致密腺体组织构成的女性乳腺癌的几率更高。 研究人员补充说,根据他们对 20 万妇女的研究,乳房密度可能是乳腺癌风险的最重要指标,超过...
UCLA的研究人员发现将UCLA开发的一种疫苗与其他实验性疗法及FDA批准的疗法联合在一起可以减小晚期脑胶质瘤的大小。这种特异性靶向脑胶质瘤的免疫疗法叫做自体肿瘤裂解液激活的...
在一项新的研究中,来自挪威、匈牙利和美国的研究人员发现癌细胞通过窃取周围细胞的能量进行生长。

不同类型的癌症以不同的方式产生,但是它们都是开始于不受控制的细胞分裂。

为了产...
恶性黑素瘤是生长最快的肿瘤之一,也是最致命的皮肤疾病。来自科隆大学集群卓越衰老研究中心的Sandra Iden及其团队研究了周围组织对黑素瘤的形成及生长的影响,相关研究成果发表在...
一项由维也纳医科大学和匈牙利及瑞典的科学家合作的新研究首次证明抑制肿瘤血供的药物(血管生成抑制剂)疗效不佳的原因可能是由于药物很难渗透到肿瘤组织的最小血管中。血管生成...
在一项新的研究中,来自美国哈佛医学院和布莱根妇女医院的研究人员发现肿瘤是否会对免疫疗法作出反应,部分上取决于它的染色体是处于完整的状态还是处于混乱的状态。这一发现可能能够帮...
日前,来自南安普敦大学的研究人员通过研究发现了机体免疫系统能够识别并且有效抵御癌症的重要途径,相关研究刊登于国际杂志Proceedings of the National A...