新闻资讯

本专题为癌症123的癌症专题,内容全部来自癌症123精心选择与癌症相关的最近资讯,癌症123读懂智能与未来,拥有癌症资讯的信息,在这里你能看到未来的世界。

*以上解读内容仅供参考,癌症123不对解读内容负责。
中国因癌症死亡病例达221万例;按平均寿命74岁计算,中国人一生罹患癌症的概率为22%,因癌症死亡的几率是13%。
2018-03-2911:00|浙江新闻客户端【编者按】科学普及与科技创新同等重要,弘扬科学精神,提高全民科学素养更需久久为功。
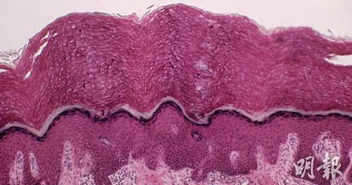
港媒称,过去医学界认为,皮肤是人体最大器官。近日则有发现称,“间质”有可能是更大型器官。“间质”以前单纯被视为一种结缔组织。
人类研究自身器官已经有数千年,但直到如今,科学家还在不断揭开新的人体奥秘。这一通道网被称为“间质组织”,它有如人体内的“流动液体的高速公路”。
近日,美国医生在做窥镜检查时意外发现了一个新的人体器官。研究人员认为,该器官有缓冲功能,可以以此保护其他器官。
1177-1188DOI:10.1056/NEJMoa1713709III期结肠癌辅助化疗的持续时间背景2004年以来,奥沙利铂联合一种氟嘧啶的6个月治疗方案已经成为III期结肠癌患者的标准辅助治疗方案。
作者从挂号开始,详细把就诊、用药、转院、开销、求血等一系列治疗经历细致记录,也是因为对这篇文章所记录的一切经历感同身受。
一些中医药专家指出,目前,肿瘤患者选择中草药治疗应避免两大误区。湖南中医药大学第一附属医院肿瘤科许利纯教授介绍,首先,一些肿瘤病人误以为“以毒攻毒,真正抗癌”。
但近年来由于工业污染、汽车尾气排放量添加、烟酒消耗量上升,其发病率有逐年上升的趋势,危害巨大,及时治疗对喉癌来说,是十分重要的。
肺结核会变成肺癌吗迄今为止的临床科研资料表示,肺结核和肺癌没有直接关联性。因为肺结核属于结核杆菌引起的呼吸道传染病,而肺癌是和吸烟、大气污染和免疫功能低下等有关的一种肿瘤性疾病,是肺内的细胞突变并不断地增值导致的疾病。
抽烟的人可多吃葡萄葡萄可以增强体质,提高抵抗疾病的免疫力、能缓解因吸烟引起的呼吸道发炎、痒痛等不适症状。
I-BET 762是一种新溴域抑制剂,其可逆靶向BET 蛋白,并损害其结合组蛋白上乙酰化赖氨酸的能力,从而中断下游转录。
兰州网红医生再发文牵动男同胞神经工作中的赵鹏甘菊萍摄六大原因致男性乳腺癌的发病率表现出逐年上升的趋势。
有一种人身上会有某种特殊的臭味,这种人就是肝癌患者。在美国和欧洲一些国家,人们选择通过一种气体味道来判断人体是否有肿瘤。
相对于其他类型的乳腺癌,三阴性乳腺癌表现出转移率高、细胞增殖快和预后差等特征,而缺乏成功靶向药物是最大障碍。
乳腺癌IV期患者,之前进行过乳腺根治术,后出现两肺、骨及脑干转移。2006年1月,在一次常规的体检中,医生通过触摸发现我的左乳有肿块,建议进一步检查。
人们对头发的标准主要是以黑以有光泽为主,相反,你却有着一头白发,或者是有一半的白发,再或者是几十根的白头,在一群黑发的周围,也显得格外的突出。
“我们的研究团队目前正在进行小分子果胶增强化疗药效的试验,期望不久的将来能够将其转化为药品投入临床”。
杀死感染细菌看起来没有止境,科学家必须跟上细菌耐药性的步伐,研制出可以再次杀死“超级细菌”的新型抗生素。
全国肿瘤登记中心每年收集、整理、评估、分析并发布全国中国登记处的肿瘤登记数据。为国家及地区癌症防控策略的制定及肿瘤相关研究的开展提供了可靠依据。
网上很多人传播,南京一30岁男子患肠癌晚期,一周至少5天吃烧烤,烧烤危害真的这么大吗。很多人可能关心烧烤是否致癌,其实烧烤致癌的证据还是非常充分的。
这种疾病一旦发生就应该及时的进行治疗,否则的话是有可能会危及患者生命安全的。此病即使是治疗之后患者也不要大意,应该多注意饮食的习惯,这样才可以降低此病复发的几率。
但吃之前一定要洗干净哦!如果是深绿色和橙黄色蔬菜则适当加热有利于类胡萝卜素的吸收。2,蔬菜:动物性蛋白=2:1这是美国癌症研究机构提出的原则。
更多健康内容不再错过,不定期惊喜送给你近年来,肺癌发病人数在全球呈持续上升趋势,肺癌发病率占所有癌症发病率的12%。
当人们被宣告“肺癌”时,心中便是绝望,其实肺癌的最佳治疗方法并不是没有,关键看你有没有仔细寻找。医学技术发展迅速,对于众多疾病治疗均有攻克,例如肺癌。