新闻资讯

本专题为癌症123的癌症专题,内容全部来自癌症123精心选择与癌症相关的最近资讯,癌症123读懂智能与未来,拥有癌症资讯的信息,在这里你能看到未来的世界。

*以上解读内容仅供参考,癌症123不对解读内容负责。
如果是长期服用抗癌药物导致的机体虚弱,服用这种扶正扶阳药物才是正路,既然身体不乏阳质,再火上浇油显然不是抗癌常理。
乳腺癌是女性发病率排名第一的恶性肿瘤,但是死亡率却很低,早期乳腺癌的治愈率达到90%以上。最新的指南指出:内分泌治疗的时间为5-10年,这些都需要由患者自己执行,因此,乳腺癌患者的自我管理成为重点。
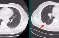
病例1:男性,53岁,间质性肺病每年定期体检,左图为4年前,右图为新近体检随访过程中发现右下肺胸膜下实性结节,穿刺证实为小细胞肺癌。
肿瘤专家认为,一般来说,肿瘤患者的饮食应该以高蛋白、清淡、易消化为准则,对病况有影响的食物,也就是民间说的“发物”应该尽量避免,而补品也不是宣扬的那般神器。
这是因为初次治疗时其他部位可能已经潜伏着的癌灶。当身体免疫力下降或者肿瘤细胞增殖旺盛,这些部位的癌灶就会卷土重来,出现复发或者转移。
”癌症和许多要素有关,比方年龄、性别咱们是改动不了的。但许多要素是能够通过本身的束缚来预防,下面我们来测试一下自己是不是癌症体质,以及癌症的预防方法。
”癌症和许多要素有关,比方年龄、性别咱们是改动不了的。但许多要素是能够通过本身的束缚来预防,下面我们来测试一下自己是不是癌症体质,以及癌症的预防方法。
目前主要根据以下几点:肿瘤类型、分期癌细胞最大的特点是生长快,不受控制,能转移,其增长速度远远超过人体正常组织,常因压迫、浸润、获取人体正常的营养。
甲状腺癌一直是高发病率癌症之一,手术是主要的治疗方法,一般会选择在脖子上或腋下切口。但以往甲状腺手术后颈部常会留下一道深深的疤痕。
PET-CT是非常有效的体检技术,具有成像清晰,准确率高,安全高效等特点。而且能够精确找出患病的性质类型以及区域等等,对身体的健康有很大的保障。
胡萝卜素因属脂溶性物质,故只有在油脂中才能被很好地吸收。因此,食用胡萝卜时最好用油类烹调后食用,或同肉类同煨,以保证有效成分被人体吸收利用。
俗话说“一年之计在于春”,万物复苏,而春分又是平分春季的一个节气。春分是一年四季中阴阳平衡、昼夜均等、寒温各半的时期,所谓"春分者,阴阳相半也,故昼夜均而寒暑平。
从癌症病人能不能吃鸡肉说起癌症病人接受手术、放疗、化疗或中医中药治疗,都会问大夫,“我能否吃鸡”。“饮食有什么禁忌”之类的问题,这些看起来并不复杂的问题,在我国竟成为难题。
作者:EndureAACR会议即将举行,最近公布了会议摘要。如Bavencio治疗胃癌。
22岁的小伙也是,多年来一直饱受便秘困扰,经常都需要借助开塞露或者乳糖等通便药物来排便,肛裂出血也是常有的事。
春天鸟语花香,是万物生发的好季节,但恰恰也是养生的阶段,中医上讲,春天养生重在养肝。春天养肝的食物1:韭菜韭菜在我国古代的时候就有食用,中医上认为,韭菜温中、行气、散血、解毒。
运动后不能马上做4件事禁忌一:立即坐下休息身体经过一定量的运动后,必然会出现疲劳感,尤其是长跑后,很想坐下来休息。
淋巴癌是一种常见的恶性肿瘤,其早期症状不易发现,所以很容易错过最佳治疗时间,因此了解淋巴癌早期有哪些症状是相当重要的。
市民杨先生吃干炒蚕豆划伤了舌头,由于没有明显的痛苦感,便没把此事放在心上。后来,这个伤口越变越大,且严重影响了说话、进食,去医院诊断后才发现,此伤口已恶化成癌!
刚满6岁的小雨馨,家住中方牌楼镇,去年12月底因一次重感冒发烧到镇上医院检查时,发现肚子里有一个不明包块。
现在市场上有许多富含硒的产品:富硒大米、富硒锅、富硒保温杯…众所周知,硒是人体必需的一种微量元素,体内含量约14-21mg。
除了定时接受治疗外,应充分合理地安排自己生活、起居、饮食、体能锻炼、娱乐活动、社会交往等并使之规律化。
1、蘑菇在生活中特别的常见,有着几种功效,功效:一:益气开胃,久病虚羸及老人小儿体弱者;二:托痘疹;三:抗癌;四:降血糖,五:与葱白儿同食可以促进血液循环。
类风湿关节炎是一种严重的骨科疾病,严重影响患者的生活质量,相信大家对类风湿关节炎并不是很陌生。相信有很多人或者身边的朋友都患有类风湿关节炎,但是,并不是所有的关节疼痛都是类风湿性关节炎。
文/潘战和@肿瘤专科医生最近接诊一例来咨询的人,不能说她是病人,因为她只是来咨询的,本身并没有得病。