免疫细胞作为人体免疫系统的关键防线,具备及时察觉并消灭癌细胞的能力,能有效遏制癌症的扩散。此外,它们还能重塑机体免疫系统,增强抗癌力量。因此,从细胞层面强化癌症患者的免疫系统,是抗癌过程中的重要环节。
癌症患者在开启治疗之旅时,常常承受巨大心理压力,严重时甚至会对抗癌效果产生负面影响。肿瘤医院的一项临床调查显示,癌症患者的心理调适和情绪状态对治疗成果有着显著影响。积极乐观的心态有助于病情好转,而情绪消沉可能导致免疫功能下降,使病情恶化。显然,要提高癌症患者的治愈率和生活质量,心理治疗不可或缺。
长期以来,癌症在传统观念中被视为绝症。然而,随着医学的不断进步,尤其是免疫细胞疗法的崛起,正在逐渐打破人类与癌症对抗的僵局。与传统药物不同,免疫细胞疗法被视作 “活体药物”,即通过外部途径为患者输送具有特定功能的细胞(有活性的免疫细胞),以增强抗癌免疫反应,对抗癌症。
2024 年 3 月,中国科学院的一个科研团队在《Cell Transplantation》上发表了一篇文章,全面系统地探讨了免疫细胞疗法的技术创新与临床进展。
研究人员将免疫细胞治疗分为低风险和高风险两类。
低风险免疫细胞疗法:包括 TIL 细胞治疗、CIK 细胞治疗、DC 疫苗、DC/CIK 细胞治疗。这类疗法能增强免疫系统识别和清除肿瘤的能力,在治疗异质性较高的恶性肿瘤和实体瘤方面展现出优势,可改善治疗效果。此类 “低风险” 疗法采用自体分化细胞,通常操作程度最低,风险较小,只需适度的外部管理和临床监督,意味着更加安全、副作用更少。
高风险免疫细胞疗法:涵盖 CAR-T(嵌合抗原受体 -T)细胞、TCR(T 细胞受体)-T、CAR-NK(嵌合抗原受体 - 自然杀伤)或 CAR-M(CAR - 巨噬细胞)。
其中,CAR-T 疗法、自体造血干细胞移植等疗法主要用于血液性肿瘤;目前,针对实体瘤领域的 CAR-T、CAR-NK、CAR-M 等其他特异性细胞治疗仍处于研发阶段,其安全性和有效性有待进一步验证。
这类 “高风险” 疗法通常具有明确的靶向性和高度特异性,特别适合相对快速增殖的恶性肿瘤,能够激活全新的抗肿瘤免疫反应,并且常常能重振之前存在的免疫反应。需要注意的是,这类疗法通常运用自体干细胞、同种异体或异种细胞或转基因细胞,涉及的操作水平较高,风险也较大,需要仔细评估治疗过程中潜在的风险。
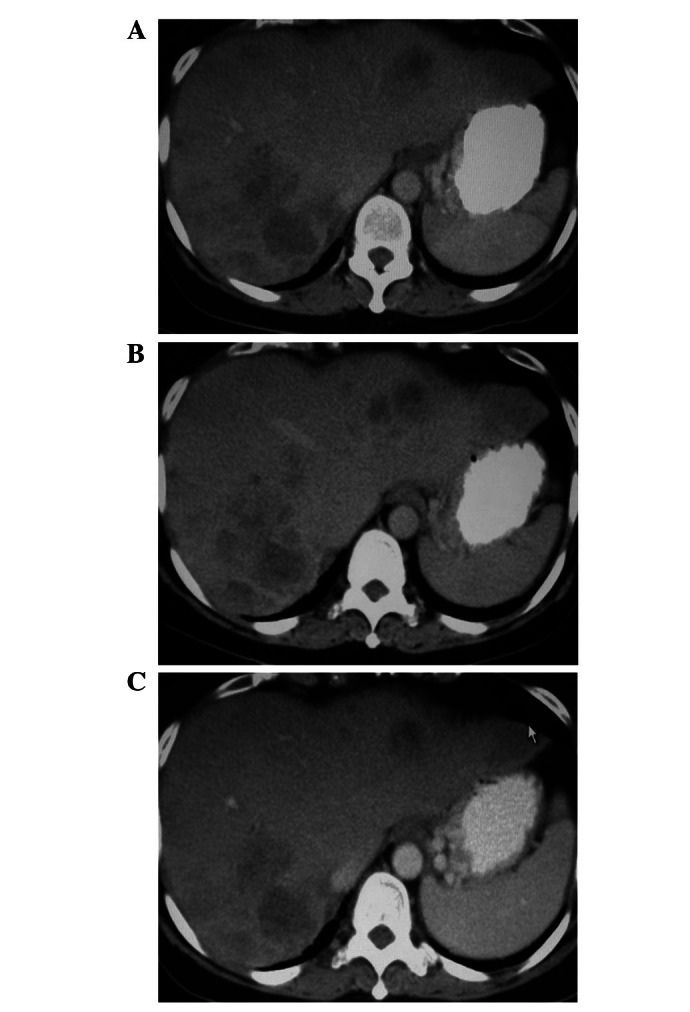
50 岁晚期癌症患者用 NK 细胞 +CTL 治疗,转移病灶明显缩小
著名肿瘤期刊《Oncology Letters》报道了一位接受过化疗的晚期结肠癌患者采用免疫细胞疗法的案例。接受治疗后,患者多项指标改善,转移病灶明显缩小。
2008 年 5 月,一名 50 岁女性被诊断为结肠癌 IV 期,KRAS 基因发生突变。CT 扫描显示肝脏存在转移的恶性肿瘤,癌胚抗原(CEA)水平为 500 U/ml。患者先后经历化疗、放疗、靶向治疗等,但都无法控制病情,由于无法耐受化疗副作用,最终选择免疫细胞治疗,包括 NK 细胞、CTL(细胞毒性 T 淋巴细胞)。
免疫细胞培养扩增 2 周后,平均数量为 14.4×10^8 个 NK 细胞和 32.9×10^8 个 T 细胞(CTL)。在输注 6 次 NK 细胞和 T 细胞后,患者的 CEA 水平从 901 U/ml 显著下降至 437 U/ml。
在第 3 次和第 6 次输注后进行肿瘤评估,CT 扫描表明,结肠和肺部的病变保持稳定,肝转移的肿瘤明显缩小。
此外,患者在治疗过程中未出现不良反应。随访中,患者表示体力有所改善,生活方式也更加积极。
150 人接受 CIK 细胞疗法,5 年生存率高达 85.7%
夏建川教授团队进行了一项关于 CIK 细胞疗法治疗乳腺癌的临床研究,相关临床结果已在医学杂志 BMJ 子刊《J Immunother Cancer》上发表。
该研究共纳入 310 例接受综合治疗的术后乳腺癌患者,其中 165 例(53.2%)患有 TNM I/II 期肿瘤,145 例(46.8%)患有 TNM III 期肿瘤。
治疗方案:对照组的 160 例患者接受常规治疗(接受化疗 / 放疗 / 内分泌治疗),CIK 细胞治疗组的 150 例患者在接受常规治疗后,输注 CIK 细胞。
最终的生存分析显示,CIK 治疗组患者的 5 年 OS 率(总生存率)和 5 年 RFS 率(无复发生存率)分别为 85.7%、80.8%,而对照组患者的 OS 率分别为 72.3%、68.6%,CIK 治疗组患者的 OS 率和 RFS 率明显优于对照组。
癌症患者更易产生心理问题。一项关于中国成人焦虑及抑郁症状的调查研究显示,癌症患者出现焦虑和抑郁症状的比例分别为 49.7% 和 54.9%,高于无癌症的成人(18.4% 和 17.5%)。
发表于《CURR DRUG TARGETS 》的一篇综述,介绍了癌症与抑郁症分子机制相关性的最新证据。
在癌症治疗期间,预防性干预对于监测患者心理健康至关重要,不应被忽视。换句话说,早期干预措施能改善抑郁症状,并提高癌症生存率。
研究人员还指出,通过识别抑郁症的关键生物标志物,医生能够辨别出有抑郁症风险的癌症患者或者可能对常规治疗无反应的癌症患者。
因此,癌症患者在接受治疗的过程中和治疗后,一定要注意及时识别心理问题,并进行有效干预。
1.消除对心理问题的错误认知,不要对心理问题存在耻辱感和误解。
对于癌症患者来说,可能会出现情绪低落、心情不佳、焦虑、抑郁、恐惧等不良心理,且这些心理问题可能在癌症被发现、治疗、康复及进展的各个阶段出现,表现和程度各不相同。主要原因是对待癌症这一突发状况的心态和处理方法不合理,此时获取恰当的心理支持非常合适。
2.积极改善心理状态,促进康复,提高生命质量。
如果被确诊为癌症,患者及家属需尽快接受现实,逃避只会让结果更糟。当然,接受现实需要一个过程。首先,可以接受自己的痛苦。然后,通过正确的方式进行宣泄,如痛哭、向他人倾诉等。
如果感到恐慌和无助,应及时咨询专科医生,或通过正当途径查阅相关资料。一旦对患病原因、治疗方案以及可能出现的不良反应有一定了解,内心的恐慌感就会降低。
癌症患者及家属可以积极寻找如 “病友家园”“抗癌乐园” 等能分享经历的社群,便于相互理解和支持。倾诉内心痛苦,可减轻负面情绪,收获他人关爱和帮助,注入正能量。同时,培养音乐、散步、养花等爱好,既能保证休息,又能有效转移注意力,有利于疾病康复。
2023 年中国抗癌协会肿瘤心理学专业委员会(CPOS)组织专家编写了《中国肿瘤整合诊治技术指南(CACA)・心理疗法》。例如,《指南》建议对于抑郁、失眠的肿瘤患者,认知行为治疗可作为首选的心理治疗方法。
肿瘤患者在抗癌道路上,应积极面对治疗,结合免疫细胞治疗等现代医学手段,不仅能强化免疫功能,有效提升抗癌能力,还能显著延长生存期,提高生存质量。
当然,肿瘤患者的生活不应仅围绕 “肿瘤” 展开,面对心理问题,肿瘤患者应积极调整心态,消除不良情绪影响,拥抱生活,为战胜疾病增添更多信心和力量。
癌症患者在开启治疗之旅时,常常承受巨大心理压力,严重时甚至会对抗癌效果产生负面影响。肿瘤医院的一项临床调查显示,癌症患者的心理调适和情绪状态对治疗成果有着显著影响。积极乐观的心态有助于病情好转,而情绪消沉可能导致免疫功能下降,使病情恶化。显然,要提高癌症患者的治愈率和生活质量,心理治疗不可或缺。
最新综述:两类细胞疗法激活抗肿瘤免疫反应
长期以来,癌症在传统观念中被视为绝症。然而,随着医学的不断进步,尤其是免疫细胞疗法的崛起,正在逐渐打破人类与癌症对抗的僵局。与传统药物不同,免疫细胞疗法被视作 “活体药物”,即通过外部途径为患者输送具有特定功能的细胞(有活性的免疫细胞),以增强抗癌免疫反应,对抗癌症。
2024 年 3 月,中国科学院的一个科研团队在《Cell Transplantation》上发表了一篇文章,全面系统地探讨了免疫细胞疗法的技术创新与临床进展。
研究人员将免疫细胞治疗分为低风险和高风险两类。
低风险免疫细胞疗法:包括 TIL 细胞治疗、CIK 细胞治疗、DC 疫苗、DC/CIK 细胞治疗。这类疗法能增强免疫系统识别和清除肿瘤的能力,在治疗异质性较高的恶性肿瘤和实体瘤方面展现出优势,可改善治疗效果。此类 “低风险” 疗法采用自体分化细胞,通常操作程度最低,风险较小,只需适度的外部管理和临床监督,意味着更加安全、副作用更少。
高风险免疫细胞疗法:涵盖 CAR-T(嵌合抗原受体 -T)细胞、TCR(T 细胞受体)-T、CAR-NK(嵌合抗原受体 - 自然杀伤)或 CAR-M(CAR - 巨噬细胞)。
其中,CAR-T 疗法、自体造血干细胞移植等疗法主要用于血液性肿瘤;目前,针对实体瘤领域的 CAR-T、CAR-NK、CAR-M 等其他特异性细胞治疗仍处于研发阶段,其安全性和有效性有待进一步验证。
这类 “高风险” 疗法通常具有明确的靶向性和高度特异性,特别适合相对快速增殖的恶性肿瘤,能够激活全新的抗肿瘤免疫反应,并且常常能重振之前存在的免疫反应。需要注意的是,这类疗法通常运用自体干细胞、同种异体或异种细胞或转基因细胞,涉及的操作水平较高,风险也较大,需要仔细评估治疗过程中潜在的风险。
50 岁晚期癌症患者用 NK 细胞 +CTL 治疗,转移病灶明显缩小
著名肿瘤期刊《Oncology Letters》报道了一位接受过化疗的晚期结肠癌患者采用免疫细胞疗法的案例。接受治疗后,患者多项指标改善,转移病灶明显缩小。
2008 年 5 月,一名 50 岁女性被诊断为结肠癌 IV 期,KRAS 基因发生突变。CT 扫描显示肝脏存在转移的恶性肿瘤,癌胚抗原(CEA)水平为 500 U/ml。患者先后经历化疗、放疗、靶向治疗等,但都无法控制病情,由于无法耐受化疗副作用,最终选择免疫细胞治疗,包括 NK 细胞、CTL(细胞毒性 T 淋巴细胞)。
免疫细胞培养扩增 2 周后,平均数量为 14.4×10^8 个 NK 细胞和 32.9×10^8 个 T 细胞(CTL)。在输注 6 次 NK 细胞和 T 细胞后,患者的 CEA 水平从 901 U/ml 显著下降至 437 U/ml。
在第 3 次和第 6 次输注后进行肿瘤评估,CT 扫描表明,结肠和肺部的病变保持稳定,肝转移的肿瘤明显缩小。
此外,患者在治疗过程中未出现不良反应。随访中,患者表示体力有所改善,生活方式也更加积极。
150 人接受 CIK 细胞疗法,5 年生存率高达 85.7%
夏建川教授团队进行了一项关于 CIK 细胞疗法治疗乳腺癌的临床研究,相关临床结果已在医学杂志 BMJ 子刊《J Immunother Cancer》上发表。
该研究共纳入 310 例接受综合治疗的术后乳腺癌患者,其中 165 例(53.2%)患有 TNM I/II 期肿瘤,145 例(46.8%)患有 TNM III 期肿瘤。
治疗方案:对照组的 160 例患者接受常规治疗(接受化疗 / 放疗 / 内分泌治疗),CIK 细胞治疗组的 150 例患者在接受常规治疗后,输注 CIK 细胞。
CIK 治疗组和对照组的生存分析
最终的生存分析显示,CIK 治疗组患者的 5 年 OS 率(总生存率)和 5 年 RFS 率(无复发生存率)分别为 85.7%、80.8%,而对照组患者的 OS 率分别为 72.3%、68.6%,CIK 治疗组患者的 OS 率和 RFS 率明显优于对照组。
癌症易引发心理问题,抑郁高达 54.9%
研究表明,及时干预能够提高生存率!
研究表明,及时干预能够提高生存率!
癌症患者更易产生心理问题。一项关于中国成人焦虑及抑郁症状的调查研究显示,癌症患者出现焦虑和抑郁症状的比例分别为 49.7% 和 54.9%,高于无癌症的成人(18.4% 和 17.5%)。
发表于《CURR DRUG TARGETS 》的一篇综述,介绍了癌症与抑郁症分子机制相关性的最新证据。
在癌症治疗期间,预防性干预对于监测患者心理健康至关重要,不应被忽视。换句话说,早期干预措施能改善抑郁症状,并提高癌症生存率。
研究人员还指出,通过识别抑郁症的关键生物标志物,医生能够辨别出有抑郁症风险的癌症患者或者可能对常规治疗无反应的癌症患者。
因此,癌症患者在接受治疗的过程中和治疗后,一定要注意及时识别心理问题,并进行有效干预。
1.消除对心理问题的错误认知,不要对心理问题存在耻辱感和误解。
对于癌症患者来说,可能会出现情绪低落、心情不佳、焦虑、抑郁、恐惧等不良心理,且这些心理问题可能在癌症被发现、治疗、康复及进展的各个阶段出现,表现和程度各不相同。主要原因是对待癌症这一突发状况的心态和处理方法不合理,此时获取恰当的心理支持非常合适。
2.积极改善心理状态,促进康复,提高生命质量。
如果被确诊为癌症,患者及家属需尽快接受现实,逃避只会让结果更糟。当然,接受现实需要一个过程。首先,可以接受自己的痛苦。然后,通过正确的方式进行宣泄,如痛哭、向他人倾诉等。
如果感到恐慌和无助,应及时咨询专科医生,或通过正当途径查阅相关资料。一旦对患病原因、治疗方案以及可能出现的不良反应有一定了解,内心的恐慌感就会降低。
癌症患者及家属可以积极寻找如 “病友家园”“抗癌乐园” 等能分享经历的社群,便于相互理解和支持。倾诉内心痛苦,可减轻负面情绪,收获他人关爱和帮助,注入正能量。同时,培养音乐、散步、养花等爱好,既能保证休息,又能有效转移注意力,有利于疾病康复。
2023 年中国抗癌协会肿瘤心理学专业委员会(CPOS)组织专家编写了《中国肿瘤整合诊治技术指南(CACA)・心理疗法》。例如,《指南》建议对于抑郁、失眠的肿瘤患者,认知行为治疗可作为首选的心理治疗方法。
肿瘤患者在抗癌道路上,应积极面对治疗,结合免疫细胞治疗等现代医学手段,不仅能强化免疫功能,有效提升抗癌能力,还能显著延长生存期,提高生存质量。
当然,肿瘤患者的生活不应仅围绕 “肿瘤” 展开,面对心理问题,肿瘤患者应积极调整心态,消除不良情绪影响,拥抱生活,为战胜疾病增添更多信心和力量。
标签:







