药品概述
NRG1-CD74融合突变, GSK2849330单抗靶向治疗(ERBB3)延长19个月!
晚期非小细胞肺腺癌患者,对化疗、免疫治疗均耐药。经基因检测发现NRG1-CD74融合突变,患者参与I期临床试验,采用GSK2849330单抗靶向治疗。

治疗经过:IIa期肺癌手术放疗,转移复发采用卡铂+培美曲塞治疗(稳定1.4个月),又紫杉醇治疗(稳定5.5个月),又紫杉醇+贝伐单抗治疗(稳定9个月),又纳武单抗治疗,1.3个月后进展,采用GSK2849330单抗治疗,病情稳定期达19个月。

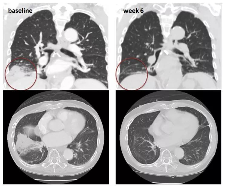
非小细胞肺癌靶向NRG1-CD74治疗前及治疗6周后CT影像:患者咳嗽消失,肿瘤缩小
注:
抗HER3单克隆抗体GSK2849330可与HER3结合并抑制其活化。可以阻止HER3介导的信号传导并抑制HER3依赖性肿瘤细胞增殖和分化,消灭癌细胞。