新闻资讯

本专题为癌症123的癌症专题,内容全部来自癌症123精心选择与癌症相关的最近资讯,癌症123读懂智能与未来,拥有癌症资讯的信息,在这里你能看到未来的世界。

*以上解读内容仅供参考,癌症123不对解读内容负责。
癌症,让人闻风丧胆,那么有没有什么“灵丹妙药”可以做到防癌抗癌呢,花多少钱我都愿意买。告诉你,这种“灵丹妙药”不仅有,而且完全免费。
90%的癌症患者死于复发转移,5个"抗癌剂"让癌细胞远离你!肿瘤是一种复杂的全身性疾病,部分肿瘤虽然能够治愈,但是无论哪种治疗方式,都不能一劳永逸地解决所有问题。
90%的癌症患者死于复发转移,5个"抗癌剂"让癌细胞远离你!肿瘤是一种复杂的全身性疾病,部分肿瘤虽然能够治愈,但是无论哪种治疗方式,都不能一劳永逸地解决所有问题。
中国三甲医院指定国际医疗平台好医友获悉,近日,美国FDA宣布批准西雅图遗传学公司的抗体药物偶联物Adcetris扩大适应症。
第二军医大学附属长海医院呼吸与危重症医学科主任白冲教授指出,通过再次活检,医生可以及时发现发现患者病情进展,找到耐药原因,从而为患者制定更精准的治疗方案。
早期前列腺癌常用的治疗方法为手术切除,越早切除治愈的可能性越大,临床上,早期前列腺癌手术切除后5年生存率能达60%以上。
长期下去患者的全身状况会日渐虚弱,表现出消瘦乏力,进而出现贫血、恶病质或肾功能衰竭等一系列的损害症状。
相信很多人都知道乳腺增生这种疾病,尤其是女性朋友患有乳腺增生的人是非常多的。许多女性被检查出患有乳腺增生后,都会很担心增生如果严重了,会不会变成乳腺癌。
目前的研究发现,宫颈癌的发病主要与感染高危型人乳头瘤病毒相关,在我国大陆目前部分地区已经可以接种相关的疫苗。
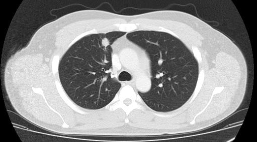
随着人们健康体检意识不断增强,临床上肺部小结节诊断越来越多,但肺部小结节大多数为良性结节,少部分为恶性。
许多癌症其实都有早期信号,然而人们往往以为是小毛病,进而忽视了它们,从而错过最佳治疗时间。深圳一企业的高管,父子三人不到两年,先后都被查出得了癌症——消化道肿瘤。
全国肿瘤登记中心负责全国肿瘤登记数据收集、质量控制、汇总、分析及发布工作。4万例,平均每天超过1万人被确诊为癌症,每分钟有7个人被确诊为癌症。
许多癌症其实都有早期信号然而人们往往以为是小毛病进而忽视了它们从而错过最佳治疗时间今天说的这则癌症报道相信看完能给你一定的启发父子三人两年不到齐患癌深圳一企业高管父子三人不到两年先后都被查出得了癌症父子三人所患的均是消化道肿瘤消化道恶性肿瘤占成人肿瘤发病率的50%以上,且年轻化趋
根据美国癌症协会的统计,2017年美国约有79000人将被诊断为膀胱癌,将近17000人将死于这种疾病。
日前,ImmunoGen 公司宣布该公司的在研抗体药物偶联物 mirvetuximab soravtansine 在与默沙东 的抗 PD- 1 疗法 pembrolizumab 联合治疗对铂类疗法产生抗性的上皮性卵巢癌 的临床 1b/ 2 期试验中获得积极疗效和耐受性数据。
今日,罗氏集团成员基因泰克宣布其3期研究IMpower150在中期分析中抵达了共同主要总生存期终点。
而多种研究结果表明,黑色食品或深色食品更有益人体健康,不过可能有些物质并不容易被人体直接吸收,因此不被专家所推广。
日前,诺华宣布美国FDA扩大了Tasigna的适应症,批准其作为一线与二线疗法。治疗1岁及以上罹患费城染色体阳性慢性骨髓性白血病,且病情处于慢性阶段的儿童患者。
而在我们的日常生活之中姜也是必不可少的一种调味料,而且姜的营养价值也是非常之高。所有有很多人都喜欢吃姜。
近日,中国科学院深圳先进技术研究院生殖健康研究室副研究员范秀军与纳米医疗技术研究中心研究员蔡林涛等合作,成功开发出治疗胎盘绒毛膜癌的靶向硫酸软骨素纳米载药系统,能特异地快速到达肿瘤部位,杀死癌细胞。
“肥胖是会呼吸的痛,它活在我身上所有角落,吃肯德基会痛,吃麦当劳会痛,连喝水也痛;肥胖是会呼吸的痛。
为了更好地帮助广大的患者,我们将各平台收集到的问题进行统一整理回复和筛选。回复:胶囊内镜是通过口服内置有摄像与信号传输装置的智能胶囊,借助消化道自身的蠕动。
为了更好地帮助广大的患者,我们将各平台收集到的问题进行统一整理回复和筛选。回复:胶囊内镜是通过口服内置有摄像与信号传输装置的智能胶囊,借助消化道自身的蠕动。
小张和小刘是一对准备要结婚的小情侣,但是就在临近婚期的时候小张被诊断了胃癌,但是小张还没有上手术台,小刘也被诊断了胃癌。
所以说大蒜是很多人的最爱,那么现在很多人用糖和醋腌制大蒜,被腌制后的大蒜,还有益健康吗。研究发现,腊八蒜产生绿色,是其中一些含硫物质在酸性条件下发生了结构变化,生成蓝色和黄色两种含硫色素,叠加成为绿色。