新闻资讯

本专题为癌症123的癌症专题,内容全部来自癌症123精心选择与癌症相关的最近资讯,癌症123读懂智能与未来,拥有癌症资讯的信息,在这里你能看到未来的世界。

*以上解读内容仅供参考,癌症123不对解读内容负责。
生活中多吃一些粗粮,不容易患乳腺癌的,那么现在为大家来介绍一下的吧。第一类、水果:葡萄、猕猴桃、柠檬、草莓、柑橘、无花果等。
中医在两千年以前对肿瘤就有了一定的认识,甲骨文就有“瘤”字的记载。中医以整体观念和辨证论治为原则,建立了对肿瘤原因、症状、诊断、治疗、预后及预防的理论体系。
精准治疗是一种定制医疗模式,它以人体基因组信息为基础,结合蛋白质组、代谢组等相关内环境信息,为患者量身制定出最佳治疗方案,以期达到治疗效果最大化和副作用最小化。
这两个基因突变都有一系列的靶向药物,但问题是如果一个患者同时存在两种基因突变,那该怎么办呢。今天的这篇文章,本篇将会给大家通过一个案例故事来详细看看。
近日,发表在美国癌症研究所的一项研究表明,癌症死亡患者中。和可控危险因子有关,包括吸烟、超重、饮酒、摄入牛羊肉和加工肉类、水果蔬菜和膳食钙摄入量低、活动过少、紫外线辐射暴露、特定感染。
研究人员发现,与大豆蛋白摄取量最低的人相比,那些大豆蛋白摄取量最多的乳腺癌患者,其死亡风险降低了29%。
恶性度主要由肿瘤细胞的病理类型决定,也就是说肿瘤细胞的“好”与“恶”,决定肿瘤的生长速度、转移速度、治疗效果。
有些是因为分泌过多有些是因为分泌过少,这就会导致甲状腺激素失调,可以分为甲亢和甲减。海带是富含有大量的碘,可以用海带跟绿豆一起熬成汤,海带绿豆汤有着清凉,消肿的效果,长期食用可以有效的改善病状。
图说:脊柱肿瘤领域有重大突破。这项题为“脊柱肿瘤发生机制及治疗新策略的相关研究”,近日获得了上海市科技进步一等奖。
如果换一种吃法,那么对于身体的保养来说,好处是非常多的。换一种方法吃它,不仅美味,而且还有养颜抗癌的功效,它不是什么特殊的食物,而是洋葱。
肝癌,一直以来都被人们冠以“癌中之王”的称呼。作为中国发病率最高的五种癌症之一,肝癌最致命的特点就是它在早期极难被发现及确诊!
有数据表明,吸烟人群的肺癌发病率比不吸烟者高10~20倍,吸烟仍然为肺癌的最大祸首,可以说绝大多数肺癌患者都挂着“烟民”的称号。
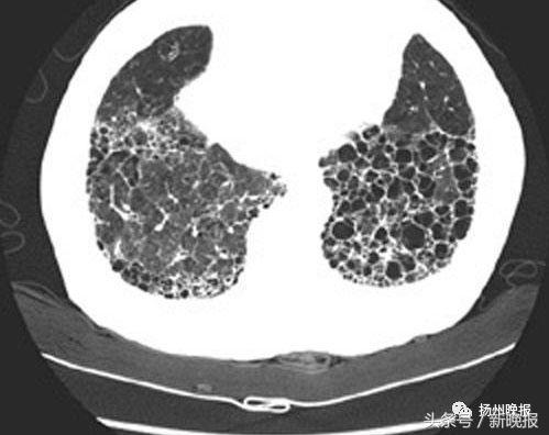
典型病例72岁健康爷爷患“蜂窝肺”手指头变得像肉球今年72岁的张爷爷是一体育爱好者平时有空还到处旅游虽已七旬,但连感冒都很少有可从去年底开始他感觉自己的身体有些不舒服“好好的干咳起来,上楼,出去买个菜,就气喘,晚上睡觉也感到呼吸不畅”。
近期,某单位年度体检增加了肿瘤筛查项目,许多同事在阅读报告时看见自己的数值都正常,但是有几位同事的数值却升高了。
手术、放疗、化疗,被称为肺癌治疗的“三驾马车”。分类:外放疗——通常意义上的放疗内放疗——把放射性药物注射进入体内,聚集到需要治疗的组织或器官中,通过射线治疗肿瘤。
大家一谈到肺癌治疗的事情,都顾虑重重的,主要是因为肺癌治疗的副作用实在是太多了,而且很多家属面对这些肺癌患者在治疗过程中出现的副作用时都束手无策。
DNA有一个很重要的工作——告诉你的细胞产生哪些蛋白。现在,一个来自特拉华大学的研究团队开发了一种新技术将DNA链变成为了可以控制蛋白产生与否的开关。
”3月24日,娄底市中心医院8病室病房里,接受了舌恶性肿瘤切除并再造新舌手术的彭某缓缓发声了。他一字一顿地真诚感谢着救治他的8病室副主任彭福森博士等医护人员,现场迸发出一阵阵热烈的掌声。
指导专家尹德海北京协和医院中医科副主任医师许兆祥中国医科院病毒所教授赵立平上海交通大学教授张晨虹上海交通大学博士彭永德上海交通大学医学院附属第一人民医院教授近日,国际顶级学术杂志《科学》在线发表了一项最新的研究成果。通过提供丰富多样的膳食纤维,可使人体肠道内特定有益菌群升高,进而
历时5年筹备搭建的这个国际多学科联合诊疗平台,寄希望能将世界防癌抗癌的“前沿样本”,让更多的本地患者及时获益。
但是大肠癌的早期,没有明显的症状或者症状不典型,与肠炎,痢疾,肠结核,消化不良等疾病有时候难以鉴别。
发病原因大多和人们不良的生活习惯有关,尤其是吸烟。除此之外就是空气污染,长时间处于有害的环境之下,如粉尘、汽车尾气、结核杆菌导致肺部出现疾病。
癌症的潜伏期有多久许多感染性疾病如细菌性痢疾等。从病菌经口进入人体消化道内到出现发热、腹泻之间约历时1-2天,这一段时间即称为潜伏期。
近日,美国“男性健康”网站刊出了最容易侵袭男性的6种癌症的报警信号以及其容易混淆视听的错误预警症状。
摘自:《哈佛家庭医学全书》安徽科学技术出版社阴茎癌很少见。在美国每年只有1300例被确诊为阴茎癌。阴茎癌可能是由某种人类乳头状病毒导致的,这种病毒在女性身上可以导致宫颈癌。