基础概念
统计数据
肿瘤标志物
抗癌饮食
生活习惯
运动健身
早期发现
风险
遗传
筛查
诊断
思维导图
医生
医院
临床招募
精准医学论坛
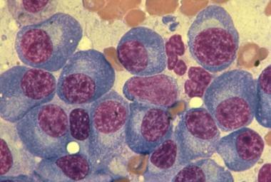
多发性骨髓瘤(multiple myeloma,MM)是恶性浆细胞病中最常见的一种类型,又称骨髓瘤、浆细胞骨髓瘤或Kahler病,直到1889年经Kahler详细报告病例后,多发性骨髓瘤才普遍为人们所了解和承认。多发性骨髓瘤的特征是单克隆浆细胞恶性增殖并分泌大量单克隆免疫球蛋白,发病率估计为2~3/10万,男女比例为1.6:1,大多患者年龄>40岁,黑人患者是白人的2倍。
扫描上面二维码在移动端打开阅读
齐普乐
齐普乐 Bortezomib
福可苏
伊基奥仑赛
瑞复美
Lenalidomide
昕泰
昕泰 Bortezomib
恩莱瑞
Ixazomib
希维奥
Selinexor
安跃
安跃Pomalidomide
安加维
Denosumab
存达
Bendamustine
千平
千平 Bortezomib
凯洛斯
Carfilzomib
兆珂
Daratumumab
丽诺生
万珂
Bortezomib
Panobinostat
Elotuzumab
AZD1480
Uprosertib
Sapanisertib
Tandutinib
pomalidomide
Melphalan
Nelfinavir
Teclistamab
Ciltacabtagene autoleucel
Isatuximab
Quisinostat
CGT-1881
ICP-490
Zevorcabtagene autoleucel
NXC-201
Idecabtagene vicleucel